Tin tức, bài viết mới nhất về :

Bệnh viện Phụ sản

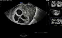
Cực hiếm gặp: Bệnh viện Phụ Sản Hà Nội ghi nhận 1 sản phụ mang thai 4 tự nhiên, tỷ lệ chỉ khoảng 1/700.000 - 800.000 ca

Cực hiếm gặp: Bệnh viện Phụ Sản Hà Nội ghi nhận 1 sản phụ mang thai 4 tự nhiên, tỷ lệ chỉ khoảng 1/700.000 - 800.000 ca

05/07/2025 07:15:00 PM

Trường hợp đặc biệt với tỷ lệ hiếm chỉ 1/700.000 ca mang thai tự nhiên khiến giới chuyên môn lẫn cộng đồng không khỏi bất ngờ.

Bác sỹ BV Phụ sản Trung ương: Giới trẻ nườm nượp đi khám bệnh lây qua đường tình dục sau Valentine

Bác sỹ BV Phụ sản Trung ương: Giới trẻ nườm nượp đi khám bệnh lây qua đường tình dục sau Valentine

16/02/2023 12:09:00 PM

Do ngày Valentine các bạn trẻ quan hệ tình dục quá "thoáng", không dùng bao cao su để bảo vệ hoặc có dùng nhưng lại vô ý trong "màn dạo đầu" dẫn tới lây nhiễm nhiều bệnh nguy hiểm không lường trước được.

Tags: BV Phụ sản , Bệnh lây qua đường tình dục , Phụ sản Trung Ương , đường tình dục , quan hệ tình dục , màn dạo đầu , bệnh nguy hiểm , Trung Tâm Đào Tạo , Bệnh viện Phụ sản , Bệnh viện phụ sản Trung ương , bao cao su

Vị bác sĩ sợ nhất bội tín với bệnh nhân và những ca cấp cứu vừa làm vừa “khấn”

Vị bác sĩ sợ nhất bội tín với bệnh nhân và những ca cấp cứu vừa làm vừa “khấn”

11/10/2022 02:42:00 PM

'Khi bệnh nhân gọi là họ đang rất mong ngóng mình. Nếu tôi không vào viện giúp họ được thì tôi sẽ có cảm giác bội tín. Đó là điều mà tôi sợ nhất'.

Tags: chăm sóc sức khỏe , Bệnh viện Phụ sản , Sức khỏe sinh sản , Phụ sản Hà Nội , bệnh viện phụ sản hà nội

Đi khám vì kinh nguyệt thất thường, nữ điều dưỡng 25 tuổi ngất lịm khi nhận kết quả

Đi khám vì kinh nguyệt thất thường, nữ điều dưỡng 25 tuổi ngất lịm khi nhận kết quả

25/09/2022 01:32:00 PM

Hiện không ít chị em chủ quan về vấn đề sức khỏe sinh sản, đến khi muốn có con mới đi khám và phát hiện những bất thường, thậm chí vuột mất khả năng làm mẹ.

Tags: vấn đề sức khỏe , Sức khỏe sinh sản , khả năng làm mẹ , Bệnh viện Phụ sản , công việc ổn định , Chu kỳ kinh nguyệt

Người mẹ ung thư quyết sinh con và 'cuộc chiến khốc liệt' trên bàn mổ giành sự sống

Người mẹ ung thư quyết sinh con và 'cuộc chiến khốc liệt' trên bàn mổ giành sự sống

08/09/2022 02:27:00 PM

Bệnh viện K Trung ương vừa tiến hành mổ cấp cứu cho bệnh nhân Phan Thị Thu T. mang thai 31 tuần với chẩn đoán u lympho No n-H odgkin giai đoạn IVA được chuyển sang từ Bệnh viện Phụ sản Trung ương. Bé trai nặng 1600 gram chào đời ngay trong căn phòng phẫu thuật với ekip mổ liên viện của Bệnh viện K và Bệnh viện Phụ sản TW.

Tags: giành sự sống , Bệnh viện Phụ sản , Phụ sản Trung Ương , Cổ tử cung , Bệnh viện Phụ sản TW

Cứu sống bé gái bị sốt xuất huyết trên cơ địa béo phì

Cứu sống bé gái bị sốt xuất huyết trên cơ địa béo phì

04/07/2022 11:08:47 AM

Bé gái 10 tuổi, cân nặng 52kg vào viện trong tình trạng sốt cao liên tục, uống thuốc khó hạ, mệt, có chảy máu mũi.

Tags: chảy máu mũi , Bệnh viện Phụ sản , theo dõi sát , sốt xuất huyết Dengue , y tế thế giới , diễn biến phức tạp , thuốc điều trị

Chồng mắc Covid-19 vào thăm vợ sinh, bệnh viện phụ sản dừng tiếp nhận bệnh nhân

Chồng mắc Covid-19 vào thăm vợ sinh, bệnh viện phụ sản dừng tiếp nhận bệnh nhân

01/02/2021 10:30:47 PM

Nhận được thông tin chồng sản phụ mắc Covid-19 (bệnh nhân 1833), Sở Y tế chỉ đạo Bệnh viện Phụ sản Hải Phòng lập danh sách tất cả những trường hợp F1, F2 liên quan, cách ly và xét nghiệm virus SARS-CoV-2, tạm dừng tiếp nhận bệnh nhân.

Tags: Bệnh viện Phụ sản , bệnh viện phụ sản hải phòng , covid-19

Nhà báo Trần Mai Anh nói về hành trình thiện nguyện: "Có lúc mỏi chứ - Cái mỏi rất bình thường của người luôn phải gắng quá sức mình đi trên con đường mà đôi lúc không biết còn bao xa"

Nhà báo Trần Mai Anh nói về hành trình thiện nguyện: "Có lúc mỏi chứ - Cái mỏi rất bình thường của người luôn phải gắng quá sức mình đi trên con đường mà đôi lúc không biết còn bao xa"

26/12/2020 10:30:00 AM

Một địa chỉ đặc biệt, nơi có một "Mẹ Còi" bé nhỏ và những đứa trẻ xa lạ xem nhau như một gia đình thật sự. Ở đó, từng thành viên biết cách tự tìm, chắt chiu cho mình những giọt hạnh phúc ngọt ngào từ muôn vàn nỗi khổ đau. Chính họ, 14 năm qua đã viết nên một thế giới cổ tích của lòng người và những điều kì diệu.

Tags: điều kì diệu , thủ tục pháp lý , em bé sơ sinh , bé sơ sinh , người phụ nữ , người sáng lập , kém may mắn , ca phẫu thuật , phẫu thuật miễn phí , đi cấp cứu , bộ phận sinh dục , Thiện Nhân và những người ban , bác sĩ Việt Nam , Bệnh viện Phụ sản

Tin vui: Sản phụ nhiễm Covid-19 đã khỏi bệnh và xuất viện cùng con

Tin vui: Sản phụ nhiễm Covid-19 đã khỏi bệnh và xuất viện cùng con

22/08/2020 08:20:00 PM

Chiều 22/8, Bệnh viện Dã chiến Hòa Vang (Đà Nẵng) đã cho 16 bệnh nhân Covid-19 khỏi bệnh được xuất viện. Trong số này có bệnh nhân số 569 là sản phụ được các bác sĩ thực hiện mổ "bắt con" thành công trong thời gian điều trị tại đây.

Tags: bệnh viện dã chiến , quá trình điều trị , Bệnh viện Phụ sản , mổ bắt con , theo dõi sức khỏe

Đẻ thường tốt hơn rất nhiều, vì sao tỷ lệ đẻ mổ ngày càng gia tăng?

Đẻ thường tốt hơn rất nhiều, vì sao tỷ lệ đẻ mổ ngày càng gia tăng?

18/07/2020 09:31:00 PM

Mặc dù đẻ thường nhiều cái lợi cho cả sản phụ và trẻ sơ sinh nhưng vì sao tỷ lệ mổ chủ động ngày càng gia tăng?

Tags: trẻ sơ sinh , Bệnh viện Phụ sản

Bệnh viện ở Hà Nội sẵn sàng trả thêm lương, gọi nhân viên là "kẻ lừa đảo" nếu nhận phong bì

Bệnh viện ở Hà Nội sẵn sàng trả thêm lương, gọi nhân viên là "kẻ lừa đảo" nếu nhận phong bì

09/03/2020 09:41:55 PM

Điều đặc biệt trên là một trong những quy định mới của Bệnh viện Phụ sản Hà Nội.

Tags: kẻ lừa đảo , nhận phong bì , Bệnh viện Phụ sản , giám đốc bệnh viện

Người mẹ từ chối điều trị ung thư, chấp nhận mất đôi mắt để sinh con: "Nếu có thể nhìn thấy con, tôi chẳng còn ước mơ nào lớn hơn thế"

Người mẹ từ chối điều trị ung thư, chấp nhận mất đôi mắt để sinh con: "Nếu có thể nhìn thấy con, tôi chẳng còn ước mơ nào lớn hơn thế"

06/07/2019 08:45:17 AM

7 năm trước, chị thức dậy, máu bỗng nhiên chảy ộc ra từ hốc mũi, không thể cầm. Chị bị chẩn đoán mắc ung thư vòm họng giai đoạn cuối trong thời kì mang thai đứa con đầu lòng được 5 tháng. Nhiều người có thể bảo chị thật ngu ngốc hay điên khùng, nhưng chị chấp nhận mù mắt chỉ mong con đến với cuộc đời này.

Tags: thuốc giảm đau , điều trị ung thư , ung thư vòm họng , căn bệnh ung thư , mất thị lực , Bệnh viện Phụ sản , thuốc kháng sinh , cận kề cái chết , câu chuyện phi thường

Chuyện tình phi thường của người mẹ ngồi để BS mổ bắt con: Tình yêu giản dị lắm, đâu cần làm nó phức tạp thêm!

Chuyện tình phi thường của người mẹ ngồi để BS mổ bắt con: Tình yêu giản dị lắm, đâu cần làm nó phức tạp thêm!

25/05/2019 09:41:53 AM

Mỗi lần vợ ho sặc sụa, nôn ói tất cả những gì vừa ăn vì ung thư vú di căn phổi, xương, anh Hùng chỉ biết nắm lấy vai vợ nói một câu: 'Cố lên em!' Chị Liên quay sang nhìn anh như động viên ngược lại rằng: 'Không sao đâu, em còn chịu đựng được'...

Tags: ung thư vú , ung thư vú di căn , Nguyễn Thị Liên , khoa Hồi sức , Bệnh viện K , căn bệnh ung thư , Bệnh viện Phụ sản , Bệnh viện phụ sản Trung ương

8/3 ở "xóm bà bầu" Sài Gòn: Những người phụ nữ gian nan đi tìm thiên chức làm mẹ và tình người trong con hẻm hy vọng

8/3 ở "xóm bà bầu" Sài Gòn: Những người phụ nữ gian nan đi tìm thiên chức làm mẹ và tình người trong con hẻm hy vọng

08/03/2019 09:15:00 AM

Không biết từ lúc nào, cái gánh nặng con cái luôn bị đổ hết lên đôi vai yếu ớt của người phụ nữ, để rồi có những người đi suốt cuộc đời, hy sinh hết tất cả chỉ để tìm cho mình một đứa con.

Tags: móc điện thoại , đi lấy chồng , Bệnh viện Phụ sản , đi khám bác sĩ

Ảnh tư liệu cho thấy thế giới thay đổi “chóng mặt” như thế nào

Ảnh tư liệu cho thấy thế giới thay đổi “chóng mặt” như thế nào

03/03/2019 02:18:00 PM

Những bức ảnh trong lịch sử dưới đây đem tới cái nhìn thú vị về cuộc sống trong quá khứ và cho thấy thế giới đã thay đổi nhanh chóng như thế nào.

Tags: nữ tiếp viên hàng không , nhà khoa học , đôi mắt đẹp , Bệnh viện Phụ sản , thử hạt nhân

Vụ vợ con chết, chồng nguy kịch khi du lịch Đà Nẵng: Thêm một người ở cùng khách sạn tử vong

Vụ vợ con chết, chồng nguy kịch khi du lịch Đà Nẵng: Thêm một người ở cùng khách sạn tử vong

19/09/2018 09:01:00 PM

Cháu K. lưu trú cùng khách sạn với gia đình có 2 người tử vong, 1 người nguy kịch tại Đà Nẵng và cùng phát bệnh trong một thời điểm rồi tử vong sau đó.

Tags: du lịch đà nẵng , ngộ độc thực phẩm , Bệnh viện Phụ sản , vợ chồng

Hà Nội: Bát nháo “cò” bệnh viện

Hà Nội: Bát nháo “cò” bệnh viện

30/07/2016 11:42:54 AM

Tại nhiều bệnh viện lớn của Hà Nội, “cò” hoạt động hết sức nhộn nhịp, “cò” mặc cả, ngã giá, trắng trợn thu tiền của người bệnh…

Tags: mắt mệt mỏi , hai người phụ nữ , Bệnh viện Phụ sản , bác sĩ chỉ định