Mạch máu chính nuôi tim người đàn ông tắc tới 99%: Bác sĩ chỉ đích danh nguyên nhân
Đang làm việc, người đàn ông ngã gục, không ngờ mạch máu chính nuôi tim (động mạch vành) tắc tới 99%, khiến trái tim bị bóp nghẹt, rơi vào ngừng đập.
50 phút giành giật sự sống
Ngày 12/1/2026, khi đang làm việc tại cơ quan, anh T.Q. M (47 tuổi) bất ngờ ngã gục, rơi vào trạng thái bất tỉnh và ngừng thở hoàn toàn. Đồng nghiệp lập tức ép tim tại chỗ và gọi cấp cứu. Anh được chuyển đến bệnh viện gần cơ quan trong tình trạng ngừng tuần hoàn.
Tại đây, các bác sĩ tiến hành sốc điện, sử dụng thuốc vận mạch và hồi sức tim phổi liên tục. Sau 50 phút căng thẳng, tim anh mới đập trở lại. Tuy nhiên, người bệnh vẫn hôn mê sâu, suy hô hấp nặng, phù phổi cấp do suy tim trái cấp tính. Anh được chuyển khẩn cấp tới Bệnh viện E để tiếp tục điều trị chuyên sâu.
Theo người nhà, trước đó anh M từng phát hiện rối loạn lipid máu nhưng không điều trị. Lần khám gần nhất vào tháng 6/2025 cho thấy cholesterol 5,5 mmol/L, triglycerid 2,87 mmol/L, có gan nhiễm mỡ. Anh không hút thuốc, không uống rượu nhưng rất ít vận động thể lực.
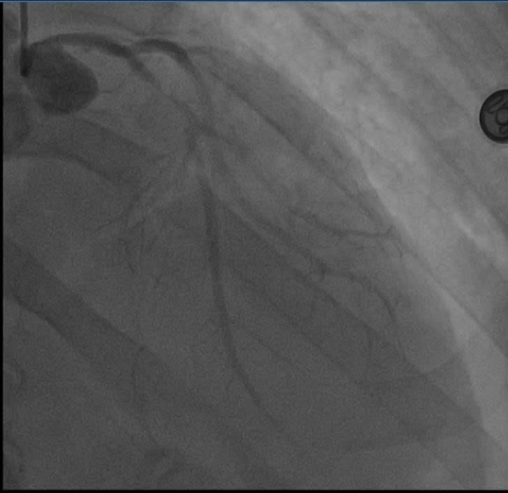
Hình ảnh tắc mạch của bệnh nhân.
Phát hiện “động mạch của sự sống” tắc 99%
Ngay khi tiếp nhận, các bác sĩ Bệnh viện E vừa hồi sức tích cực vừa tiến hành thăm dò nguyên nhân. Kết quả chụp động mạch vành cho thấy nhánh liên thất trước (LAD) – mạch máu quan trọng nhất nuôi tim - bị hẹp tới 99% do xơ vữa lan tỏa. Đây chính là nguyên nhân dẫn đến cơn nhồi máu cơ tim cấp và ngừng tuần hoàn.
Trước tình trạng nguy kịch, bệnh viện kích hoạt báo động đỏ, huy động nhiều chuyên khoa phối hợp điều trị. Ê-kíp tim mạch can thiệp thực hiện can thiệp mạch vành qua da (PCI), đặt stent tái thông dòng chảy, cứu vùng cơ tim đang thiếu máu cục bộ cấp và ngăn ngừa loạn nhịp nguy hiểm.
Sau can thiệp, người bệnh tiếp tục được điều trị tại Khoa Hồi sức tích cực nội khoa và chống độc. Do thời gian ngừng tuần hoàn kéo dài gần một giờ, nguy cơ tổn thương não rất cao, các bác sĩ đã áp dụng kỹ thuật kiểm soát thân nhiệt mục tiêu (TTM), chủ động “làm lạnh” cơ thể nhằm bảo vệ não khỏi tổn thương sau thiếu oxy.
Song song đó, bệnh nhân được thở máy bảo vệ phổi và lọc máu liên tục (CRRT) để kiểm soát suy đa tạng, cân bằng nội môi và loại bỏ độc tố chuyển hóa. Nhờ chiến lược điều trị tổng lực, sau 40 ngày, anh M dần hồi phục ý thức, cai máy thở, ngừng lọc máu và có thể tự đi lại.
Cảnh báo bệnh tim mạch âm thầm
Theo TS.BS Phan Thảo Nguyên – Phó Giám đốc Bệnh viện E, phụ trách điều hành Trung tâm Tim mạch, trường hợp của anh M là lời cảnh báo về bệnh lý mạch vành diễn tiến âm thầm. Nhiều người dễ nhầm cơn đau thắt ngực với trào ngược dạ dày thực quản.
Bệnh nhân hồi phục sau can thiệp.
Các triệu chứng như ợ hơi, ợ chua, đau tức vùng thượng vị lan sau xương ức, đặc biệt xuất hiện khi gắng sức, trời lạnh hoặc kèm khó thở, vã mồ hôi… có thể là biểu hiện thiếu máu cơ tim. Người có yếu tố nguy cơ không nên tự dùng thuốc mà cần thăm khám chuyên khoa tim mạch.
Bác sĩ Thảo Nguyên cũng nhấn mạnh việc kiểm soát “gốc rễ” như rối loạn lipid máu và lối sống ít vận động. Dù chỉ số cholesterol không quá cao, xơ vữa mạch vành vẫn có thể hình thành và gây tắc nghẽn đột ngột. Những người có nguy cơ nên tầm soát chuyên sâu bằng siêu âm tim, điện tâm đồ gắng sức hoặc chụp CT mạch vành để phát hiện sớm bất thường.
Theo bác sĩ Thảo Nguyên, trong ngừng tuần hoàn, mỗi phút trôi qua, tỷ lệ sống giảm 7–10%. Việc ép tim ngay lập tức giúp duy trì dòng máu lên não, tạo tiền đề cho hồi sức chuyên sâu sau đó.
Các bước nhận biết và sơ cứu cơ bản gồm:
- Nhận biết nhanh: Kiểm tra an toàn hiện trường; gọi hỏi, vỗ vai xem nạn nhân có phản ứng; quan sát nhịp thở. Nếu không thở hoặc chỉ thở ngáp cá, cần xử trí ngay.
- Gọi hỗ trợ khẩn cấp.
- Thực hiện hồi sức tim phổi (C-A-B): Ép tim ở nửa dưới xương ức, tần số 100–120 lần/phút, độ sâu khoảng 5 cm; chu kỳ 30 lần ép – 2 lần thổi ngạt; Nếu không thể thổi ngạt, vẫn cần ép tim liên tục cho đến khi nhân viên y tế đến.
“Đừng sợ làm sai. Ép tim sớm dù chưa hoàn hảo vẫn có giá trị hơn nhiều so với chờ đợi. Chính những nhịp ép tim trong 5–10 phút đầu là nền tảng để cứu sống người bệnh”, TS.BS Phan Thảo Nguyên nhấn mạnh.

