Bé trai 12 tuổi "phổi trắng xóa” chỉ sau 1 ngày mắc cúm: Cách phát hiện sớm cúm nặng ở trẻ
Một bé trai 12 tuổi nhiễm cúm A chủng H3N2, chỉ sau 24 giờ hình ảnh phổi đã xuất hiện tình trạng viêm lan tỏa nghiêm trọng, còn gọi là “phổi trắng”.
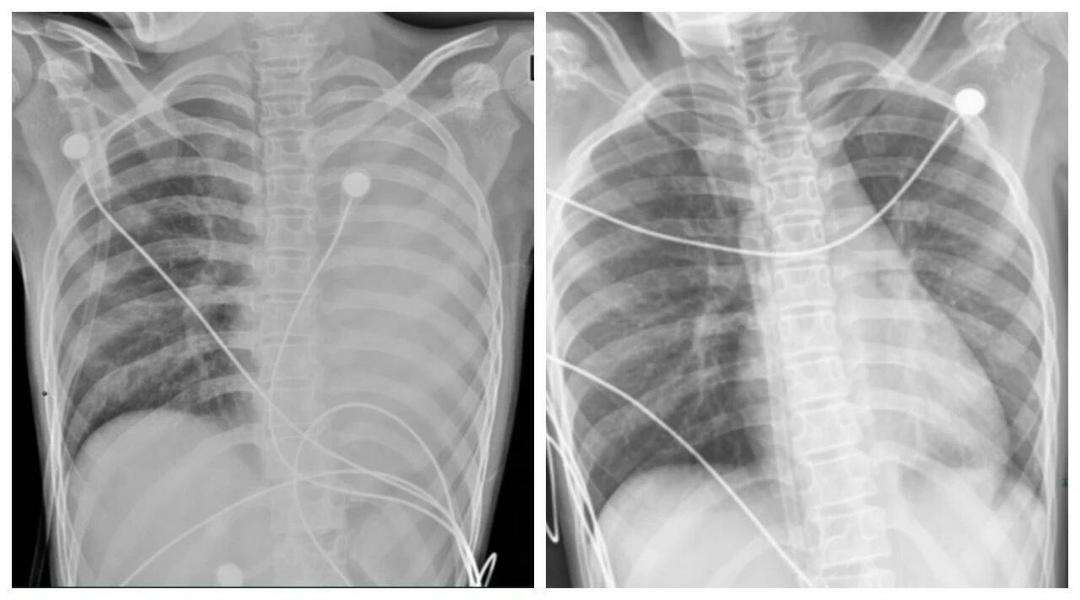
Những ngày gần đây, dư luận Trung Quốc đặc biệt chú ý tới một ca bệnh tại tỉnh Hà Nam, Trung Quốc : một bé trai 12 tuổi nhiễm cúm A chủng H3N2 , chỉ sau 24 giờ hình ảnh phổi đã xuất hiện tình trạng viêm lan tỏa nghiêm trọng, còn gọi là “phổi trắng”. Trẻ rơi vào suy hô hấp nặng và chỉ được cứu sống nhờ hệ thống oxy hóa máu qua màng ngoài cơ thể ( ECMO).
Trường hợp này khiến giới y khoa và phụ huynh không khỏi lo lắng, đồng thời gióng lên hồi chuông cảnh báo cúm không phải là “cảm nặng” , đặc biệt ở trẻ em, nguy cơ diễn tiến nhanh sang thể nặng luôn hiện hữu nếu phát hiện muộn hoặc xử trí không đúng.
Virus và vi khuẩn “đánh hội đồng”: cơ chế nguy hiểm phía sau ca phổi trắng
Theo các chuyên gia hô hấp nhi khoa, diễn biến nặng ở ca bệnh này xuất phát từ nhiễm trùng phối hợp virus - vi khuẩn . Khi virus cúm A H3N2 xâm nhập, nó phá vỡ hàng rào bảo vệ niêm mạc đường hô hấp, tạo điều kiện cho các vi khuẩn cơ hội như tụ cầu vàng (Staphylococcus aureus) tấn công phổi.
Sự “đánh hội đồng” này kích hoạt phản ứng viêm dữ dội, khiến dịch viêm và chất nhầy nhanh chóng lấp đầy các phế nang, làm mất khả năng trao đổi oxy. Hệ quả là trẻ tiến triển thành hội chứng suy hô hấp cấp tính (ARDS) , một tình trạng có tỷ lệ tử vong từ 26-44%. Trong nhiều trường hợp, thở máy thông thường không còn hiệu quả, buộc phải dùng ECMO để duy trì sự sống.
Trẻ em là nhóm đặc biệt dễ tổn thương do đường thở hẹp, khả năng khạc đờm kém , dịch tiết dễ gây tắc nghẽn phế quản, thậm chí hình thành viêm phế quản tạo khuôn. Đồng thời, hệ miễn dịch của trẻ chưa hoàn thiện, nhất là trẻ dưới 5 tuổi, dễ rơi vào tình trạng “bão cytokine” , dẫn tới nhiễm trùng huyết và suy đa cơ quan.
Theo Hướng dẫn chẩn đoán và phòng ngừa cúm ở trẻ em năm 2024 (Trung Quốc) , tỷ lệ mắc cúm ở trẻ dưới 15 tuổi cao gấp hơn 3 lần người lớn, và 90% ca nhập viện do nhiễm trùng hô hấp dưới cấp liên quan cúm là trẻ em .
“Phổi trắng trong 24 giờ”: hiếm nhưng không thể chủ quan
Các bác sĩ nhấn mạnh, hiện tượng “phổi trắng chỉ sau 1 ngày” là rất hiếm gặp . Thông thường, cúm tiến triển thành viêm phổi nặng cần 3–5 ngày. Nhiều trường hợp thực tế đã có triệu chứng nhẹ trước đó như sốt âm ỉ, mệt mỏi nhưng không được chú ý, khiến thời gian diễn tiến bị đánh giá thấp.
Về mặt y khoa, “phổi trắng” không phải phổi biến đổi màu sắc thật mà là hình ảnh X-quang hoặc CT cho thấy vùng viêm, thâm nhiễm chiếm trên 70% nhu mô phổi . Nếu được điều trị kịp thời bằng kháng virus, kháng sinh, rửa phế quản… phần lớn tổn thương có thể hồi phục.
Thống kê cho thấy, chỉ khoảng 2% trẻ mắc cúm có bội nhiễm vi khuẩn , và tỷ lệ cúm nặng nhìn chung không cao. Tuy nhiên, điểm nguy hiểm nằm ở chỗ: bệnh ở trẻ có thể khởi phát âm thầm nhưng tiến triển rất nhanh . Đặc biệt, viêm não liên quan cúm là biến chứng cực kỳ nguy hiểm, có tỷ lệ tử vong trên 30%, số trẻ hồi phục hoàn toàn chưa tới 10%.
4 dấu hiệu cảnh báo cúm nặng ở trẻ, cha mẹ cần thuộc lòng
Theo BS Đàm Thị Thanh Tâm, chuyên khoa Nội Tổng hợp, dấu hiệu thường gặp như sốt, ho, đau đầu, đau mỏi người đôi khi dễ nhầm với bệnh cảm lạnh thông thường. Tuy nhiên, virus cúm A có khả năng gây tổn thương niêm mạc đường hô hấp, tạo điều kiện cho vi khuẩn gây bội nhiễm, dẫn đến viêm amidan mủ, viêm phế quản, viêm phổi, nhiều trường hợp biến chứng khác như sốc nhiễm khuẩn, viêm cơ tim. Người có bệnh nền như tăng huyết áp, bệnh tim mạch, bệnh nền hô hấp như hen phế quản, bệnh phổi tắc nghẽn mạn tính, người già, trẻ nhỏ hoặc phụ nữ có thai, đặc biệt dễ diễn tiến nặng.
Dựa trên hướng dẫn chuyên môn và thực tiễn lâm sàng, có 4 nhóm dấu hiệu nguy hiểm , chỉ cần xuất hiện một cũng phải đưa trẻ đi cấp cứu ngay:
- Bất thường về hô hấp : Trẻ thở nhanh trên 30 lần mỗi phút khi nghỉ ngơi, phập phồng cánh mũi, lõm hõm ức hoặc kẽ sườn, môi tím tái; đo SpO2 tại nhà thấy dưới 93% . Chỉ số oxy máu quan trọng hơn cả nhiệt độ cơ thể.
- Tình trạng toàn thân xấu đi : Sốt cao trên 39 độ C kéo dài, khó hạ hoặc vừa hạ sốt lại sốt trở lại; trẻ lừ đừ, ngủ li bì hoặc kích thích bất thường, khó dỗ.
- Đau và hạn chế vận động : Đau ngực, đau bụng, đau cơ liên tục; trẻ khó thở đến mức không thể nằm ngửa.
- Bệnh tái nặng sau điều trị : Tự ý ngừng thuốc kháng virus như oseltamivir (Tamiflu) trước đủ 5 ngày có thể khiến virus bùng phát trở lại, làm bệnh trở nặng nhanh chóng.
(Tổng hợp)

