Mẹ phát hiện căn bệnh đáng sợ của con trai nhờ quan sát dáng đi bất thường
Nhận thấy dáng đi bất thường của con, người mẹ đưa cậu bé đi khám và choáng váng trước chẩn đoán lao cột sống - căn bệnh ám ảnh y học thế giới suốt hàng trăm năm.
Megan West, người mẹ sống tại Coventry (Anh), cho biết các triệu chứng đầu tiên xuất hiện ở con trai từ cuối năm 2024. Elliot, khi đó mới bốn tuổi, bắt đầu đi và chạy với tư thế không ổn định, hai bàn chân xoay lệch ra ngoài, hông lắc sang bên, hai đầu gối gần chạm vào nhau và cánh tay vung mạnh. Bên cạnh đó, cậu bé cũng có một số triệu chứng toàn thân.
Dáng đi bất thường của Elliot. (Ảnh: Kennedy News)
Những tháng tiếp theo, Megan nhận thấy con trai sụt cân rõ rệt, vóc dáng gầy gò, không tăng kích cỡ quần áo trong thời gian dài. Elliot thường xuyên đổ mồ hôi về đêm, da xanh xao và mắc các đợt viêm đường hô hấp với tần suất cao.
“Giai đoạn đầu, kết quả thăm khám cho thấy hệ thần kinh của con vẫn bình thường, sức cơ còn tốt, bác sĩ gia đình cho rằng dáng đi lạ có thể chỉ là cách cậu bé cố thu hút sự chú ý từ bố mẹ, do chúng tôi vừa có thêm một bé gái” , Megan chia sẻ.
Tuy nhiên, mọi thứ chuyển biến xấu nhanh chóng từ tháng 6/2025, khi Elliot than phiền hai chân cậu bé không thể cử động. Megan lập tức đưa con tới phòng cấp cứu và được chỉ định khám chuyên sâu. Tại đây, kết quả X-quang cho thấy các hạch bạch huyết bị vôi hóa trong phổi, gợi ý tình trạng nhiễm khuẩn lâu dài trước đó.
Các xét nghiệm tiếp theo giúp xác định Elliot bị mắc lao cột sống (spinal tuberculosis) - dạng lao nguy hiểm ngoài phổi, trong đó vi khuẩn lao không chỉ ảnh hưởng hệ hô hấp, mà còn tấn công vào hệ xương, gây các triệu chứng về thần kinh và vận động.
Sau khi đánh giá kỹ lưỡng, các bác sĩ chỉ định phẫu thuật đối với cậu bé Elliot, nhằm giải phóng chèn ép ống thần kinh và ổn định lại cấu trúc cột sống.
“Không biết kết quả cuối cùng sẽ ra sao, liệu ca mổ sẽ giúp con tôi khỏi bệnh hay cướp đi mạng sống của nó, nhưng nếu không phẫu thuật, nguy cơ liệt vĩnh viễn là rất cao” , Megan nói.
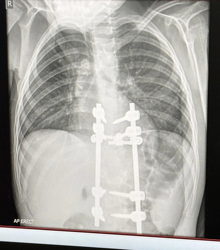
Ca phẫu thuật đầu tiên đã thành công, Elliot hiện có thể đi bộ, nhưng chưa được phép chạy nhảy. Cậu bé sẽ đối mặt với lần phẫu thuật thứ hai trong vòng sáu tháng tới, nếu dấu hiệu tổn thương lao trên cột sống không thu nhỏ. Theo chia sẻ từ người mẹ, dáng đi của Elliot đã trở lại bình thường, các cơn đau dữ dội ở vùng lưng cũng biến mất.
Kết quả X-quang của Elliot sau phẫu thuật. (Ảnh: Kennedy News)
Thống kê của Tổ chức Y tế Thế giới (WHO) chỉ ra, lao đang là một trong những bệnh truyền nhiễm gây tử vong hàng đầu toàn cầu. Ước tính, bệnh lao cướp đi sinh mạng của 1,6 triệu người mỗi năm. Tiến sĩ Tedros Adhanom Ghebreyesus, Tổng giám đốc WHO, cho biết: “Không thể chấp nhận thực trạng lao vẫn gây tử vong và làm hàng triệu người mắc bệnh, trong khi chúng ta đủ công cụ để phòng ngừa, phát hiện và điều trị” .
Từ trải nghiệm của bản thân, Megan West nhấn mạnh các phụ huynh cần quan sát kỹ các dấu hiệu bất thường ở trẻ, đặc biệt khi triệu chứng kéo dài bất thường và ảnh hưởng tới sinh hoạt thường ngày. Cô cũng khuyến khích các bậc cha mẹ nên lắng nghe con cái, chủ động trao đổi với nhân viên y tế thường xuyên.

