Đau đầu hầu hết là lành tính, nhưng nếu đi kèm 10 yếu tố này thì cần đi khám ngay
Theo Tổ chức Y tế Thế giới, khoảng 50% người lớn có ít nhất một lần bị đau đầu trong năm. Đau đầu là một triệu chứng rất thường gặp, do nhiều nguyên nhân khác nhau.
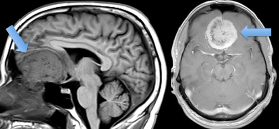
Đôi khi có dấu hiệu đau đầu nhưng N.P.A (23 tuổi, Hà Nội) chỉ nghĩ đơn giản là do căng thẳng. Những lúc đau đầu, P.A thường dùng thuốc giảm đau. Tuy nhiên, vài tháng gần đây, P.A thấy cơn đau đầu xuát hiện thường xuyên và đau đầu tăng khi ho hoặc khi vận động. Thấy rõ sự bất thường, P.A đã đi khám, kết quả có khối u não.
Khi bác sĩ thông báo, P.A đã rất choáng váng. Sau đó, được bác sĩ giải thích, P.A đã yên tâm điều trị.
ThS.Bs Chử Văn Dũng, Khoa Nội – Hồi sức Thần kinh, Bệnh viện Hữu nghị Việt Đức cho hay, hơn 95% các trường hợp đau đầu là lành tính. Các trường hợp đau đầu do các bệnh lý nguy hiểm chiếm tỷ lệ thấp, tuy nhiên ít người có thể phân biệt được trường hợp nào là nghiêm trọng.
Đau đầu là hiện tượng đau lan tỏa một vùng bất kỳ ở khu vực đầu – mặt do kích thích các thụ cảm thần kinh đau. Phần lớn cấu trúc nhu mô não và khu vực não thất không nhạy cảm với đau. Các cấu trúc nhận cảm đau vùng đầu mặt bao gồm: da, tổ chức dưới da; Cơ vùng đầu – cổ; Động mạch ngoài sọ và màng xương sọ; Cấu trúc vi thể mắt, tai, khoang mũi, hàm mặt; Các xoang tĩnh mạch màng cứng và các nhánh, khu vực xoang hang; Màng cứng nội sọ; Các động mạch lớn.

Khối u bất thường gây ra đau đầu (ảnh BSCC).
Đau đầu khi nào cần đi khám?
Theo bác sĩ Dũng, đa phần các trường hợp đau đầu là lành tính. Tuy nhiên, có một số yếu tố cảnh báo nguy hiểm:
– Triệu chứng hoặc dấu hiệu thần kinh (ví dụ: ý thức thay đổi, tê yếu tay chân, song thị, phù gai thị, méo miệng, nói khó, không hiểu lời nói,…)
– Tăng huyết áp nặng.
– Người bệnh suy giảm miễn dịch hoặc ung thư.
– Đau đầu kèm cứng cổ.
– Đau đầu như sét đánh (đau đầu dữ dội và đạt đỉnh trong vòng vài giây).
– Người bệnh có thể có tình trạng co giật, thay đổi tính cách, lú lẫn hoặc ngất xỉu.
– Đau đầu tăng khi ho hoặc khi vận động.
– Các triệu chứng toàn thân (ví dụ: sốt, sụt cân,…).
– Đau đầu ngày càng trầm trọng hoặc cơn đau đầu tính chất khác hẳn trước đây.
– Khởi phát đau đầu sau 50 tuổi.
Bác sĩ Dũng lưu ý, nếu đau đầu mà có kèm theo bất kỳ một trong các dấu hiệu cảnh báo trên, người bệnh cần ngay lập tức đến các cơ sở y tế để được bác sỹ đánh giá đầy đủ.
Đau đầu nguy hiểm thường có liên quan các bệnh lý nội sọ, ví như: bệnh lý mạch máu não (thiếu máu cục bộ, đột quỵ xuất huyết, viêm mạch, dị dạng mạch, huyết khối xoang tĩnh mạch,…); viêm do nhiễm trùng (viêm màng não, viêm não, áp xe não,..) hoặc không do nhiễm trùng (tự miễn, ung thư, hóa học); chấn thương sọ não; u não và các khối choán chỗ; hội chứng tăng áp lực nội sọ; dị dạng Chiari…
Một số bệnh lý ngoại sọ như: bệnh lý về mắt, bệnh lý về tai mũi họng, bệnh lý về nha khoa, bệnh động mạch cảnh hoặc đốt sống đoạn ngoài sọ (bóc tách động mạch) cũng gây ra đau đầu.
Ngoài ra, một số bệnh lý toàn thân như cơn tăng huyết áp, sốt cao, thiếu oxy máu, tăng C02 máu, nhiễm khuẩn huyết, nhiễm virus,… cũng gây ra triệu chứng đâu đầu.

Bệnh nhân chụp MRI tìm nguyên nhân đau đầu (ảnh BSCC).
Bác sĩ Dũng cho biết, hầu hết các trường hợp đau đầu lành tính có thể được chẩn đoán thông qua hỏi bệnh và khám bệnh mà không cần xét nghiệm. Tuy nhiên, một số bệnh lý nghiêm trọng có thể cần phải xét nghiệm khẩn cấp hoặc ngay lập tức (khi có các dấu hiệu cảnh báo).
Khi khám tùy theo tình trạng triệu chứng bác sĩ sẽ cho chụp cộng hưởng từ sọ não (MRI) cho đánh giá hiệu quả nhất hình ảnh về não bộ, cắt lớp vi tính sọ não cũng có thể sử dụng. Có thể dựng phim mạch máu não (MRA hoặc CTA) để đánh giá về tình trạng mạch khi nghi ngờ.
Trong trường hợp nếu đang nghi ngờ viêm màng não, xuất huyết dưới nhện, viêm não hoặc bất kỳ nguyên nhân nào của viêm màng não nên chọc dịch não tủy và xét nghiệm dịch não tủy.
Các xét nghiệm, thăm dò khác (ví dụ: đo nhãn áp, soi đáy mắt nghiệm máu, nội soi tai mũi họng,…) có thể được thực hiện khi có triệu chứng gợi ý tùy tình huống.
Các chuyên gia khuyến cáo, khi có tình trạng đau đầu kéo dài, đau thành cơn cần đi khám sớm để tìm ra nguyên nhân gây bệnh.