Vàng da tưởng sỏi mật, đi khám phát hiện cùng lúc hai ung thư
Bệnh nhân 59 tuổi nhập viện vì vàng da, ngứa kéo dài, được phát hiện đồng thời ung thư đại tràng phải và ung thư đường mật trong gan.
Một phụ nữ 59 tuổi được các bác sĩ Trung tâm Y học hạt nhân và Ung bướu, Bệnh viện Bạch Mai, tiếp nhận trong tình trạng vàng da, ngứa và đau vùng hạ sườn phải kéo dài. Kết quả chẩn đoán hình ảnh ban đầu ghi nhận tổn thương đường mật trong gan kèm sỏi và giãn đường mật.
Tuy nhiên, trong quá trình thăm khám toàn diện, nội soi tiêu hóa phát hiện thêm một khối u tại đại tràng lên. Sinh thiết xác định đây là ung thư biểu mô tuyến .
Sau hội chẩn đa chuyên khoa, các bác sĩ xác định bệnh nhân mắc đồng thời hai ung thư nguyên phát, thay vì một khối u di căn. Cụ thể, ung thư đại tràng phải ở giai đoạn sớm, chưa di căn hạch, trong khi ung thư đường mật trong gan đã ở giai đoạn tiến triển, có xâm lấn và di căn hạch.
Theo các chuyên gia, việc phân biệt ung thư nguyên phát với di căn có ý nghĩa then chốt, bởi quyết định hoàn toàn hướng điều trị và tiên lượng cho người bệnh.
Dựa trên thể trạng và mức độ tổn thương, ê-kíp lựa chọn phương án phẫu thuật triệt căn trong cùng một lần mổ. Người bệnh được cắt đoạn đại tràng phải kèm nạo vét hạch, đồng thời cắt gan trái và đường mật ngoài gan.
Ca mổ diễn ra thuận lợi, toàn bộ tổn thương được loại bỏ. Sau phẫu thuật, bệnh nhân hồi phục tốt, chức năng gan mật dần ổn định.
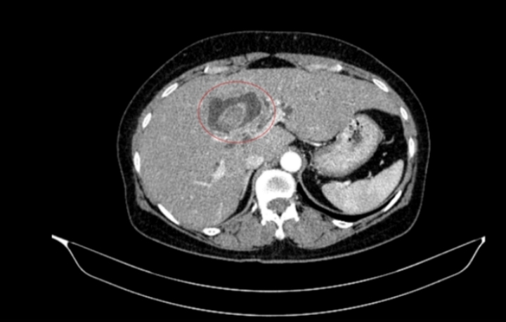
Hình ảnh sỏi đường mật tạo ổ áp xe gan - đường mật gan trái (vòng tròn màu đỏ).
Kết quả giải phẫu bệnh cho thấy tổn thương đại tràng đã được cắt bỏ triệt căn, không cần điều trị bổ trợ. Trong khi đó, ung thư đường mật có xâm lấn thần kinh và di căn hạch, do đó bệnh nhân tiếp tục được hóa trị bổ trợ nhằm giảm nguy cơ tái phát.
Theo PGS.TS. Phạm Cẩm Phương, Giám đốc Trung tâm Ung bướu và Y học hạt nhân, Bệnh viện Bạch Mai, việc phát hiện đồng thời hai ung thư nguyên phát trong hệ tiêu hóa là rất hiếm. Trường hợp này cho thấy vai trò quan trọng của thăm khám toàn diện, giúp phát hiện sớm những tổn thương tiềm ẩn.
Đáng chú ý, ung thư đường mật trong gan thường tiên lượng xấu do phát hiện muộn. Ở bệnh nhân này, các dấu hiệu tắc mật xuất hiện sớm đã vô tình trở thành “chìa khóa” giúp phát hiện bệnh ở thời điểm còn khả năng can thiệp triệt căn.
Bác sĩ khuyến cáo người dân cần đi khám khi có các dấu hiệu bất thường như vàng da, đau bụng, rối loạn tiêu hóa kéo dài. Tầm soát ung thư định kỳ, đặc biệt bằng nội soi tiêu hóa, giúp phát hiện sớm tổn thương.
Sau điều trị, bệnh nhân cần tái khám định kỳ mỗi 3-6 tháng bằng siêu âm, CT hoặc MRI và xét nghiệm dấu ấn ung thư. Riêng với ung thư đại tràng, nội soi kiểm tra nên thực hiện mỗi 1-2 năm để phát hiện sớm tái phát hoặc tổn thương mới.
Trường hợp này được xem là minh chứng cho hiệu quả của tiếp cận đa chuyên khoa và cá thể hóa điều trị trong các ca ung thư phức tạp.
