Tưởng đã kiểm soát viêm gan B, người đàn ông nhận ‘án’ UNG THƯ vì thói quen nhiều người mắc
Một người đàn ông 63 tuổi bất ngờ được chẩn đoán ung thư gan dù từng kiểm soát tốt viêm gan B suốt nhiều năm. Câu chuyện là lời cảnh báo rõ ràng về thói quen chủ quan, sai lầm mà rất nhiều người Việt đang mắc phải.
Cái giá của sự chủ quan sau khi “ổn định bệnh”
Ông Phi (63 tuổi) được phát hiện mắc Viêm gan B mạn tính cách đây khoảng 10 năm và đã điều trị bằng thuốc kháng virus để kiểm soát sự nhân lên của HBV. Sau thời gian điều trị, tải lượng virus giảm thấp, men gan ổn định nên ông được bác sĩ cho phép ngừng thuốc, kèm theo khuyến cáo phải tái khám định kỳ.
Tuy nhiên, vì thấy sức khỏe bình thường, ông không duy trì việc kiểm tra trong nhiều năm. Chỉ đến khi xuất hiện các triệu chứng như mệt mỏi kéo dài, chán ăn, đau âm ỉ vùng hạ sườn phải, ông mới đến Bệnh viện Đa khoa Tâm Anh TP HCM thăm khám.
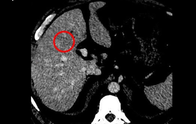
Kết quả chụp CT cho thấy gan xuất hiện khối tổn thương kích thước khoảng 22 x 24 mm cùng một số nốt nhỏ khác. Sinh thiết sau đó xác nhận ông mắc Ung thư gan giai đoạn sớm.
Kết quả CT cho thấy tổn thương gan (khoanh tròn). Ảnh: BVCC
Theo các bác sĩ, đây là hệ quả điển hình của việc không theo dõi bệnh lâu dài. Dù virus đã được kiểm soát, HBV không bị loại bỏ hoàn toàn và vẫn có thể âm thầm gây tổn thương gan, tiến triển thành ung thư nếu không được giám sát.
May mắn được phát hiện ở giai đoạn sớm, ông Phi được chỉ định điều trị bằng phương pháp Đốt u gan bằng sóng cao tần – kỹ thuật sử dụng nhiệt để phá hủy tế bào ung thư. Tuy nhiên, các bác sĩ nhấn mạnh, điều trị thành công không đồng nghĩa với “khỏi bệnh hoàn toàn”, người bệnh vẫn phải tái khám định kỳ để theo dõi nguy cơ tái phát.
Tầm soát đúng cách có thể cứu sống người bệnh
Theo chuyên gia, Viêm gan B mạn tính là nguyên nhân hàng đầu gây xơ gan và ung thư gan. Nguy cơ càng cao nếu virus tiếp tục hoạt động trong thời gian dài.
Hiện nay, thuốc kháng virus có thể kiểm soát tốt HBV, nhưng không thể loại bỏ hoàn toàn virus khỏi cơ thể. Vì vậy, ngay cả khi các chỉ số đã ổn định hoặc được ngừng thuốc, người bệnh vẫn phải theo dõi lâu dài.
Đặc biệt, sau khi ngừng điều trị, virus có thể tái hoạt động bất cứ lúc nào – đây chính là “khoảng trống nguy hiểm” nếu người bệnh lơ là tái khám.
Ung thư gan là một trong những loại ung thư gây tử vong hàng đầu tại Việt Nam, trong đó 80–90% ca bệnh liên quan đến viêm gan B và C.
Các chuyên gia khuyến cáo, người mắc viêm gan B cần duy trì kiểm tra định kỳ, bao gồm xét nghiệm chức năng gan, đo tải lượng HBV DNA, siêu âm gan và các xét nghiệm cần thiết khác. Với nhóm nguy cơ cao, việc tầm soát ung thư gan nên thực hiện mỗi 6 tháng.
Điều đáng lo ngại là bệnh có thể tiến triển âm thầm, gần như không có triệu chứng rõ ràng cho đến khi đã ở giai đoạn muộn. Vì vậy, tái khám định kỳ không chỉ là khuyến cáo, mà là “lá chắn sống còn” giúp phát hiện sớm, nâng cao hiệu quả điều trị và kéo dài tuổi thọ cho người bệnh.
