Tưởng chóng mặt do mệt mỏi, người đàn ông nhận chẩn đoán nhồi máu não

27/07/2025 18:00 PM | Sống  »  Sức khỏe

Đến khi các triệu chứng không thuyên giảm kèm theo tình trạng nặng nửa đầu phải, nam bệnh nhân đến viện kiểm tra và nhận chẩn đoán nhồi máu não bán cấp.

Nam bệnh nhân T.L.Đ. (52 tuổi, Hà Nội) đến gặp bác sĩ với lý do chóng mặt, mất thăng bằng, buồn nôn, nôn 1 lần, có cảm giác nặng nửa đầu phải nhưng lại nghĩ là triệu chứng của mệt mỏi thông thường nên không đi khám.

Sau 2 tuần tình trạng cải thiện kém, còn nặng nửa đầu phải, chóng mặt kéo dài, đặc biệt tăng nặng khi thay đổi tư thế đột ngột.

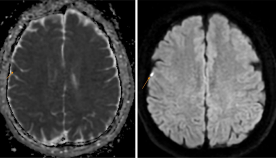
Sau khi thăm khám lâm sàng, bệnh nhân được chỉ định thực hiện một số xét nghiệm, chẩn đoán hình ảnh chuyên sâu nhằm tìm ra chính xác nguyên nhân của hiện tượng bất thường. Trên phim chụp MRI não phát hiện hình ảnh tổn thương nhỏ vỏ não vùng đỉnh phải (theo dõi nhồi máu não) kèm thoái hóa myelin chất trắng dưới vỏ bán cầu đại não và quanh não thất bên hai bên.

Dựa vào kết quả cận lâm sàng đã thực hiện, ông Đ. được chẩn đoán nhồi máu não bán cấp. Bác sĩ kê đơn điều trị ngoại trú, hướng dẫn tập luyện phục hồi chức năng và hẹn tái khám sau 1 tháng.

Hình ảnh tổn thương được phát hiện trên phim chụp MRI não

Trực tiếp thăm khám và điều trị trường hợp này, BS CKI Hoàng Anh Tuấn, Chuyên khoa Thần kinh cho biết: “Nhồi máu não bán cấp là tình trạng tổn thương não xảy ra trong giai đoạn từ 24 giờ đến vài ngày sau khi thiếu máu não cục bộ. Dù không cấp tính như đột quỵ cấp, nhưng nếu không phát hiện kịp thời, tình trạng này vẫn có thể dẫn đến di chứng thần kinh vĩnh viễn như yếu liệt, rối loạn ngôn ngữ hoặc mất trí nhớ. Đặc biệt, trong giai đoạn bán cấp, nguy cơ tái phát nhồi máu não cũng rất cao nếu không được điều trị và kiểm soát tốt các yếu tố nguy cơ”.

Nhồi máu não bán cấp thường diễn tiến âm thầm, không ồ ạt như đột quỵ cấp tính nên người bệnh dễ chủ quan hoặc bỏ qua các dấu hiệu ban đầu như chóng mặt kéo dài, buồn nôn, đau nửa đầu hay mất thăng bằng. Tuy nhiên, đây chính là thời điểm “vàng” để can thiệp y tế và phòng ngừa biến chứng nghiêm trọng.

Nếu không được điều trị đúng cách, mạch máu não có thể tiếp tục bị tắc nghẽn, làm lan rộng vùng nhồi máu, dẫn đến tổn thương não không hồi phục. Ngoài ra, người bệnh cũng có nguy cơ cao đối mặt với đợt đột quỵ mới trong vòng vài ngày đến vài tuần, đặc biệt ở những người có bệnh nền như tăng huyết áp, đái tháo đường, rối loạn mỡ máu hoặc hút thuốc lá.

Khi nào cần đi khám khi bị chóng mặt?

Chóng mặt là một trong những triệu chứng thần kinh phổ biến nhất mà người bệnh thường gặp, có thể xảy ra ở mọi lứa tuổi nhưng đặc biệt hay gặp ở người trung niên và cao tuổi. Tuy không phải lúc nào cũng nguy hiểm, nhưng chóng mặt kéo dài hoặc đi kèm các biểu hiện bất thường có thể là dấu hiệu cảnh báo những rối loạn nghiêm trọng về tuần hoàn não, hệ tiền đình, tim mạch hoặc tổn thương thần kinh trung ương.

Theo các chuyên gia thần kinh, chóng mặt có thể xuất phát từ 4 nhóm nguyên nhân chính:

- Thiếu máu não: Do tụt huyết áp, thiếu máu, xơ vữa động mạch nặng hoặc hẹp mạch máu não, gây giảm tưới máu lên não;

- Căng thẳng thần kinh: Xảy ra ở người thường xuyên mất ngủ, lo âu, làm việc trí óc kéo dài gây rối loạn chức năng điều hòa thần kinh trung ương;

- Rối loạn chức năng hệ tiền đình ngoại biên: Như viêm dây thần kinh tiền đình, rối loạn tư thế kèm buồn nôn, thường khởi phát khi thay đổi tư thế đầu;

- Tổn thương sọ não - Tiền đình trung ương: Thường gặp trong các bệnh lý như u não, đột quỵ, chấn thương sọ não, ảnh hưởng trực tiếp đến trung tâm điều phối thăng bằng.

Để nhận diện chính xác nguyên nhân chóng mặt và biết khi nào cần đi khám, người bệnh cần quan tâm đến 4 đặc điểm sau:

- Dạng chóng mặt: Chóng mặt kiểu xoay vòng; Chóng mặt kiểu choáng váng; Chóng mặt kiểu mất thăng bằng.

- Thời gian kéo dài: Trong vài giây đến phút (thường liên quan đến tim mạch - tụt huyết áp, hoặc căng thẳng thần kinh); Từ vài phút đến vài giờ (gợi ý rối loạn tiền đình ngoại biên); Kéo dài nhiều ngày (có thể liên quan đến tiền đình trung ương - tổn thương sọ não, thiếu máu não).

- Khởi phát và diễn biến: Khởi phát khi thay đổi tư thế đầu (gợi ý rối loạn tiền đình ngoại biên); Khởi phát khi đứng lên đột ngột (liên quan đến rối loạn huyết áp tư thế hoặc bệnh lý tim mạch); Không liên quan tư thế (có thể là do tổn thương tiền đình trung ương); Diễn biến có thể ổn định theo chu kỳ hoặc kéo dài không dứt, tùy vào nguyên nhân.

- Triệu chứng đi kèm: Tai (ù, đau tai, giảm thính lực); Mắt (song thị, nhìn mờ, giảm thị trường); Tim (đau ngực, choáng, ngất); Thần kinh (yếu, liệt vận động, rối loạn cảm giác, nói ngọng, nuốt nghẹn).


Theo Mỹ Diệu

Cùng chuyên mục
XEM