Thường đau đầu nhẹ, một nữ võ sư ở TP.HCM đi khám thì sốc với kết quả chụp MRI não

30/07/2025 12:00 PM | Sống  »  Sức khỏe

Một nữ võ sư 45 tuổi tại TP.HCM vừa trải qua cuộc đại phẫu bóc khối u màng não có kích thước hơn 6cm, tương đương một trái cam sành, mà không hề để lại di chứng thần kinh.

Khối u lớn bất ngờ được phát hiện khi tầm soát đột quỵ

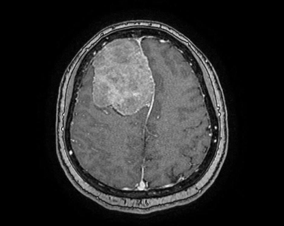
Chị Trịnh Nhật Khánh (45 tuổi, TP.HCM) là một võ sư đã gắn bó nhiều năm với bộ môn võ cổ truyền. Thời gian gần đây, chị thỉnh thoảng bị đau đầu nhẹ nên đi tầm soát đột quỵ tại Bệnh viện FV. Kết quả chụp cộng hưởng từ (MRI) khiến chị và cả gia đình không khỏi sốc: một khối u màng não khổng lồ, đường kính hơn 6cm đang âm thầm chiếm gần ¼ thể tích bán cầu não phải.

“Khối u phát triển trong thời gian dài, hộp sọ thích nghi với khối u nên khó được phát hiện. Khối u chưa ảnh hưởng tới chức năng thần kinh cấp cao, dù bệnh nhân thỉnh thoảng bị đau đầu. Tuy nhiên, trường hợp này cần được mổ sớm, vì nếu khối u lớn hơn nữa có thể gây ra các biến chứng nguy hiểm như động kinh hoặc thậm chí đe dọa trực tiếp đến tính mạng bệnh nhân”, BS.CKII Trần Lương Anh – Trưởng khoa Ngoại Thần kinh và Cột sống, nhận định.

Phim chụp MRI cho thấy một khối u lớn như trái cam sành trong não phải bệnh nhân

Từ cuộc hội chẩn giữa Khoa Chẩn đoán hình ảnh và Khoa Ngoại thần kinh & Cột sống, các bác sĩ nhận định, để ca mổ thành công cần giải quyết được hai thách thức lớn. Thứ nhất, khối u lớn và cứng nên việc bóc tách có thể gây tổn thương mô não xung quanh. Thứ hai, khối u được nuôi dưỡng bởi rất nhiều mạch máu, như vậy có nguy cơ mất máu nhiều trong khi mổ.

Bóc trọn khối u, bảo tồn mô não

Để giảm thiểu được lượng máu mất đi trong khi mổ đồng thời có phương án bảo tồn mạch máu, bác sĩ Lương Anh đã đề nghị BS.CKI Huỳnh Hữu Danh - chuyên gia can thiệp mạch thuộc Đơn vị Điện quang can thiệp - Khoa chẩn đoán Hình ảnh - thực hiện thủ thuật tắc mạch, làm tắc nguồn nuôi máu của khối u một ngày trước phẫu thuật. Thuyên tắc mạch, theo bác sĩ Danh, là phương pháp xâm lấn tối thiểu được ứng dụng điều trị một số bệnh lý về não như dị dạng mạch máu não, túi phình mạch máu não, rò động mạch cảnh xoang hang, rò động tĩnh mạch màng cứng,…

Bác sĩ Huỳnh Hữu Danh tiến hành can thiệp mạch, thủ thuật diễn ra trong khoảng 30 phút, 90% các mạch máu nuôi khối u được tắc hoàn toàn.

Hình ảnh các mạch máu não quanh khối u trong quá trình làm tắc mạch

Ngày hôm sau, cuộc mổ do bác sĩ Lương Anh chủ trì diễn ra dưới sự hướng dẫn của định vị dẫn đường thần kinh (Navigation). Hệ thống này giúp xác định chính xác ranh giới của khối u, tối ưu hóa đường mổ để không quá lớn hay quá nhỏ, từ đó giảm thời gian phẫu thuật và những rủi ro liên quan. Navigation cũng giúp xác định và bảo tồn tốt mạch máu nằm cạnh khối u.   

Ca mổ còn có sự hỗ trợ đắc lực của hệ thống cắt đốt u bằng siêu âm để giải quyết vấn đề độ cứng của khối u. “Với những khối u to và cứng như thế này, việc lấy u bằng phương pháp thủ công có thể gây tổn thương mô não xung quanh. Máy cắt đốt siêu âm giúp lấy u mà không phải xê dịch nhiều, giảm thiểu ảnh hưởng đến mô não và bảo vệ mạch máu xung quanh”, bác sĩ Lương Anh giải thích.

Ca mổ được tiến hành với sự hướng dẫn của hệ thống Navigation

Từ một vết rạch dài, khối u được bóc tách tỉ mỉ và lấy ra khỏi não bệnh nhân thành công sau 4 giờ đồng hồ mà không gây tổn thương các mô não xung quanh. Chính nhờ sự phối hợp với bác sĩ can thiệp mạch thần kinh để làm tắc nguồn nuôi máu của khối u, lượng máu chảy trong khi mổ rất ít, thời gian mổ được rút ngắn, bệnh nhân phục hồi ngoạn mục chỉ 2 giờ sau mổ.

“Thông thường, với những khối u lớn như thế này, lượng máu mất trong cuộc mổ có thể tới 700-1.000ml. Nhờ kỹ thuật tắc mạch trước mổ, lượng máu mất trong ca mổ chỉ khoảng 200-250 ml”, bác sĩ Lương Anh cho hay.

Giảm thiểu nguy cơ mất máu trong phẫu thuật là yếu tố vô cùng quan trọng: khi máu ít chảy sẽ tạo điều kiện thuận lợi tối đa cho việc bóc tách và lấy tổn thương, bác sĩ ít phải thực hiện các động tác cầm máu, từ đó giảm thiểu sang chấn cho mô não xung quanh. Điều này cũng giúp tránh được nguy cơ từ việc truyền máu.

 “Truyền máu luôn tiềm ẩn những rủi ro nhất định như sốc do phản ứng, hoặc nguy cơ lây lan các bệnh qua đường máu. Khi mất máu nhiều, hệ thống đông cầm máu của bệnh nhân cũng có thể bị rối loạn, buộc chúng tôi phải truyền thêm các yếu tố đông máu. Việc giảm lượng máu mất giúp chúng tôi không cần truyền máu, như vậy vừa giảm nguy cơ cho bệnh nhân, vừa giảm chi phí điều trị”, bác sĩ Lương Anh giải thích.

Bệnh nhân lạc quan và tràn đầy năng lượng sau ca phẫu thuật.

Tỉnh lại sau cuộc đại phẫu, chị Trịnh Nhật Khánh hồi phục rất ngoạn mục. Theo dự tính bệnh nhân phải nằm ICU 2 đêm song chỉ sau 1 đêm chị đã đủ sức khỏe để được chuyển sang khu nội trú thông thường. 4 ngày sau ca mổ, sức khỏe  của chị đã đạt mức 90% so với bình thường, tinh thần rất tốt.


Theo G.H

Cùng chuyên mục
XEM