Phát hiện khối u ở thực quản nhờ... uống bia

06/08/2025 15:19 PM | Sống  »  Sức khỏe

Lo lắng vì thỉnh thoảng đại tiện phân lỏng sau khi uống bia, người đàn ông đi nội soi thì phát hiện u dưới niêm mạc thực quản.

Anh H.T.A (32 tuổi ở Hà Nội) có tiền sử gia đình bố mắc ung thư vòm họng, chú mắc ung thư xương và bác mắc ung thư não. Thời gian gần đây, anh A. xuất hiện tình trạng đi ngoài phân lỏng với tần suất khoảng 2–3 lần/ngày sau khi uống bia. Do lo lắng về sức khỏe, anh A. quyết định đi khám. Bác sĩ chỉ định anh thực hiện các xét nghiệm cận lâm sàng và chẩn đoán hình ảnh nhằm đánh giá toàn diện tình trạng sức khỏe.

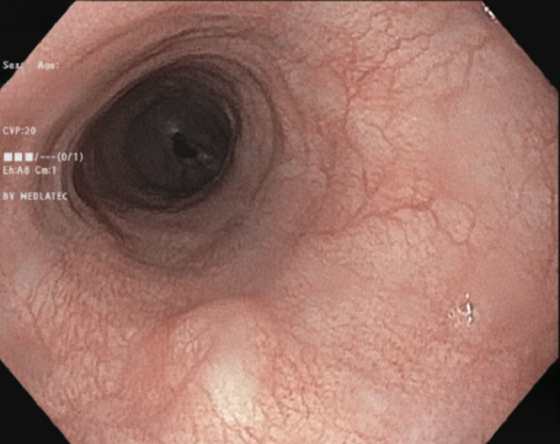
Nội soi đại tràng cho kết quả viêm đại trực tràng, trĩ nội độ II. Hình ảnh nội soi thực quản - dạ dày - tá tràng ghi nhận tại vị trí cách cung răng trên khoảng 33cm có tổn thương lồi kích thước khoảng 0.7cm, bơm hơi căng không biến mất, bề mặt nhẵn, màu sắc giống niêm mạc xung quanh, thăm bằng kìm thấy mềm, di động.

Phát hiện khối u ở thực quản nhờ... uống bia- Ảnh 1.

Nội soi thực quản - dạ dày phát hiện tổn thương lồi dưới niêm mạc thực quản

Phát hiện khối u ở thực quản nhờ... uống bia- Ảnh 2.

Nội soi siêu âm cho thấy hình ảnh u dưới niêm mạc xuất phát từ lớp cơ niêm, theo dõi u cơ trơn

Nội soi siêu âm cho thấy khối u kích thước khoảng 0.5x0.2x0.7cm, giảm âm đồng nhất, ranh giới rõ, nằm ở lớp cơ niêm, không thấy chảy máu, vôi hóa trong u.

Dựa vào kết quả trên, anh A. được chẩn đoán xác định u dưới niêm mạc thực quản xuất phát từ lớp cơ niêm theo dõi u cơ trơn (Leiomyoma).

Theo ThS. BSNT Lưu Tuấn Thành, Phó giám đốc Trung tâm Tiêu hóa, Hệ thống Y tế MEDLATEC, u dưới niêm mạc thực quản hầu hết là lành tính, chỉ một số là ác tính hoặc có tiềm năng ác tính.

Với các u dưới niêm mạc, tức là các u xuất phát từ lớp giữa của thành ống tiêu hóa, phương pháp nội soi thông thường chỉ nhìn thấy trong lòng ống tiêu hóa, không đánh giá được tính chất khối u. Nội soi siêu âm là bắt buộc đối với các trường hợp u dưới niêm mạc phát hiện được trên nội soi để đánh giá tính chất u, từ đó đưa ra quyết định có cần cắt bỏ không, nếu có thì cắt bỏ bằng phương pháp nào.

Trường hợp bệnh nhân A., trên nội soi siêu âm có khối u ở lớp cơ niêm của thực quản, giảm âm đồng nhất, giống tính chất lớp cơ. Đây là hình ảnh đặc trưng u cơ trơn, chưa có đặc điểm gì gợi ý ác tính (vôi hóa, chảy máu, loét bề mặt, nhú lồi trong u...).

BS cho hay, về mặt bệnh học, u cơ trơn là dạng hay gặp nhất trong nhóm u dưới niêm mạc tại thực quản. Với khối u kích thước nhỏ, cần theo dõi định kỳ 1 năm/lần để xem tính chất khối u có thay đổi gì không.

Ngoài ra, u dưới niêm mạc tại thực quản có thể gặp những loại sau:

- U GIST (u mô đệm đường tiêu hóa): thường nằm ở dưới niêm mạc hoặc cơ trơn, tính chất giảm âm nhưng thường giảm âm không đông nhất vì có tăng sinh mạch máu. Có tiềm năng ác tính nên khi gặp, kích thước > 2cm hoặc có những tính chất bất thường thì cắt bỏ và làm giải phẫu bệnh;

- U thần kinh nội tiết: nằm lớp dưới niêm mạc, cũng có tiềm năng ác tính, cần cắt bỏ làm giải phẫu bệnh;

- U chế nhầy.

Do không có triệu chứng của chèn ép (nói khó, nuốt nghẹn), anh A. được khuyến nghị kiểm tra định kỳ 1 năm 1 lần và nội soi để kiểm tra kích thước khối u.

Theo Bạch Hoa

Cùng chuyên mục
XEM