Nam sinh 15 tuổi khỏe mạnh đi khám phát hiện bị bệnh lý ba đời cùng mắc

08/09/2025 10:50 AM | Sống  »  Sức khỏe

Trong lần khám sức khỏe định kỳ, nam sinh 15 tuổi, trú tại TP.HCM phát hiện nhiều dấu hiệu cảnh báo liên quan đến bệnh lý thận di truyền.

Gia đình bên ngoại của nam sinh có ba thế hệ liên tiếp mắc bệnh thận đa nang - căn bệnh di truyền nguy hiểm nhưng thường diễn biến âm thầm. Bà ngoại của thiếu niên này được chẩn đoán mắc bệnh ở tuổi 60. Mẹ của em phát hiện bệnh khi mới 35 tuổi, nhưng do chủ quan, không theo dõi định kỳ, chỉ sau 5 năm phải chạy thận nhân tạo . Dì ruột (em gái mẹ) cũng mắc bệnh ở tuổi 33.

Từ yếu tố gia đình rõ rệt, trong lần khám sức khoẻ định kỳ , bác sĩ chỉ định em thực hiện siêu âm bụng và một số xét nghiệm chuyên sâu để tầm soát.

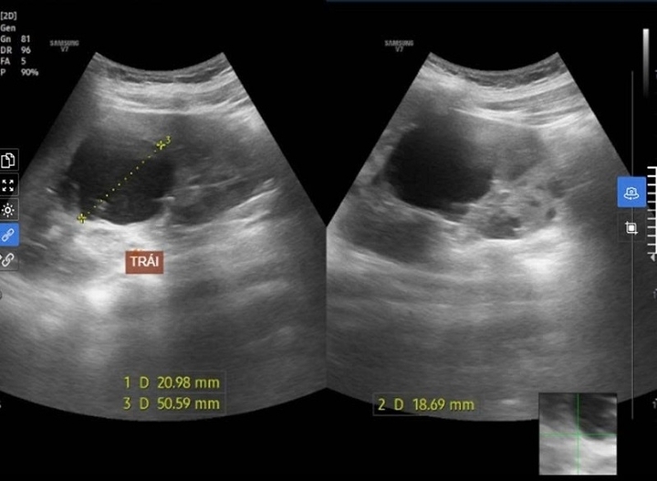
Kết quả cho thấy thận hai bên xuất hiện nhiều nang (thận trái >7 nang, thận phải >10 nang), kích thước thận to hơn bình thường. Dù chưa có biểu hiện suy thận (Creatinin: 53.16, eGFR: 195 ml/ph/1.73 m²), song em được chẩn đoán mắc bệnh thận mạn giai đoạn 1 – giai đoạn sớm nhất, chưa gây tổn thương chức năng thận.

Hình ảnh nang thận trái của nam bệnh nhân ghi nhận trên siêu âm.

Bác sĩ chuyên khoa I Nguyễn Thị Mỹ Lệ – Phòng khám Đa khoa Medlatec Gò Vấp, TP.HCM - người trực tiếp khám và theo dõi trường hợp này cho biết, bệnh thận đa nang là rối loạn di truyền đặc trưng bởi sự xuất hiện nhiều nang ở thận khiến thận to dần theo thời gian, kéo theo chức năng thận suy giảm. Khoảng 25% người mắc không có biểu hiện lâm sàng và dễ bị bỏ sót nếu không tầm soát kịp thời.

Theo bác sĩ Lệ, trường hợp của bệnh nhân trên là ví dụ điển hình cho thấy giá trị của việc sàng lọc sớm trong các gia đình có tiền sử bệnh di truyền.

Hiện nam sinh trên chưa cần điều trị bằng thuốc nhưng được đưa vào chương trình theo dõi quản lý bệnh thận mạn. Các biện pháp phòng ngừa tổn thương thận được ưu tiên gồm: Uống đủ nước, tránh mất nước hoặc dùng thuốc có hại cho thận khi không có chỉ định; Hạn chế ăn mặn; Theo dõi định kỳ các chỉ số chức năng thận, huyết áp, các biểu hiện ngoài thận (nang gan, bệnh tim mạch, phình mạch não…).

Bệnh thận đa nang có thể dẫn đến các biến chứng nghiêm trọng như suy thận giai đoạn cuối, sỏi thận, nhiễm trùng tiểu, đau lưng, tăng huyết áp , và đặc biệt là nguy cơ vỡ mạch máu não do phình mạch. Mẹ của nam sinh từng bỏ qua việc theo dõi vì cảm thấy khỏe mạnh, đến khi cơ thể mệt mỏi đi khám thì đã ở giai đoạn cuối, buộc phải lọc máu và chờ ghép thận.

Bác sĩ Lệ khuyến cáo, khi có người thân trong gia đình mắc bệnh thận đa nang, các thành viên nên chủ động tầm soát bằng siêu âm bụng và xét nghiệm chức năng thận định kỳ. “Sàng lọc sớm giúp can thiệp kịp thời, làm chậm tiến triển bệnh, kéo dài chất lượng sống và ngăn chặn các hậu quả nghiêm trọng”, bác sĩ nhấn mạnh.


Theo Như Loan/VTC

Cùng chuyên mục
XEM