Một nhà 5 người đồng loạt mắc cúm sau chuyến đi chơi, có người biến chứng nặng, trắng phổi vì bỏ lỡ "48 giờ vàng"

Theo Phạm Trang | 07/02/2025 11:57 AM | Sống

Cúm mùa có thể gây nên những biến chứng nghiêm trọng nếu không được điều trị kịp thời và đúng cách.

Mới đây, theo thông tin từ Bệnh viện Đa khoa số 2 Đại học Chiết Giang (Trung Quốc), 5 người trong một gia đình đã nhiễm cúm A sau chuyến du lịch.

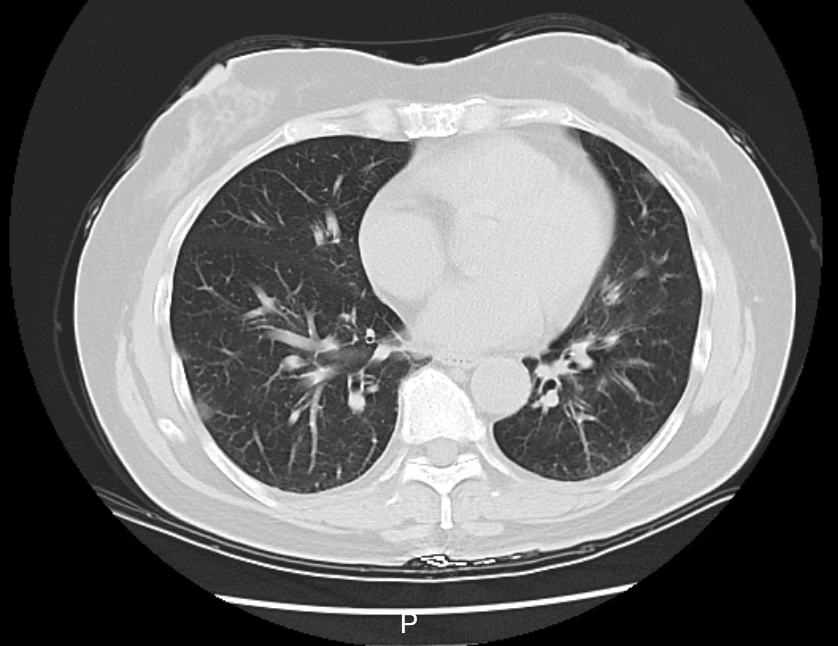
“Chúng tôi mới đi du lịch một tuần trước. Sau khi trở về, tôi bắt đầu xuất hiện các triệu chứng sốt, ho, đau họng và đau nhức cơ thể. Tôi đã chịu đựng triệu chứng này trong vài ngày nhưng đến hôm kia, do không thể tiếp tục chịu đựng nên tôi đã nhanh chóng đến bệnh viện địa phương để chụp X-quang lồng ngực. Các bác sĩ cho biết tôi bị biến chứng viêm phổi và khuyên nên nhập viện ngay” - Cô Lý (50 tuổi, đã thay đổi tên) lấy tờ báo cáo chụp X-quang có dòng chữ “viêm phổi góc dưới bên trái” với các vết trắng phổi cho hay.

Bác sĩ Bàng - bác sĩ bệnh viện Đa khoa số 2 Đại học Chiết Giang - người tiếp nhận bệnh nhân cho hay, dù cô Lý đã được tiến hành điều trị nhưng thân nhiệt vẫn khá cao. Trong số 6 người trong gia đình cô Lý sau khi về nhà thì có đến năm người lần lượt phát sốt.

Kết quả xét nghiệm cho thấy, cô Lý cùng gia đình đều dương tính với virus cúm A và riêng cô Lý đã biến chứng viêm phổi. Sau 2 ngày điều trị, thân nhiệt của cô Lý đã trở lại bình thường và các triệu chứng như ho, đau họng cũng cải thiện đáng kể.

Hãy nắm bắt "48 giờ vàng", đừng chần chừ!

Theo Bệnh viện số 2 Đại học Chiết Giang, đầu tháng 1/2025, số bệnh nhân đến khám tại phòng khám tăng gấp 4-5 lần so với đầu tháng 12/2024, tỷ lệ dương tính với cúm A cao hơn 30%.

Các bác sĩ cho biết, khi các triệu chứng cúm A xuất hiện, người bệnh nên sử dụng thuốc kháng vi-rút ở giai đoạn đầu (trong vòng 48 giờ sau khi phát bệnh), nghỉ ngơi tại nhà, tránh tập thể dục gắng sức và uống nhiều nước để có thể giảm các triệu chứng và rút ngắn thời gian mắc bệnh. 

Hầu hết những người bị cúm sẽ tự khỏi trong vòng 1 đến 2 tuần. Tuy nhiên, nếu có các triệu chứng nặng như khó khăn khi thở hoặc thở gấp, đau hoặc tức ngực hoặc bụng, chóng mặt đột ngột, lú lẫn, nôn dữ dội… người bệnh cần đến bệnh viện hay các cơ sở y tế gần nhất để xác định đúng nguyên nhân gây bệnh và điều trị đúng hướng. Với trường hợp của cô Lý, các bác sĩ cho biết, nếu có thể điều trị sớm sẽ không dẫn đến hậu quả nghiêm trọng như vậy.

Cúm thường bị nhầm với cảm lạnh thông thường khiến nhiều người chủ quan. Các bác sĩ cho biết, nếu triệu chứng của cảm lạnh thông thường là hắt hơi, nghẹt mũi, sổ mũi và ho. Trẻ em có thể bị sốt thì cúm có các triệu chứng nghiêm trọng hơn với bốn đặc chính gồm:

  •  Sốt cao rõ rệt (38,9 ~ 40℃), nhiệt độ cơ thể tăng nhanh trong thời gian ngắn
  • Các cơn đau nhức rõ ràng (đau đầu, đau họng, đau nhức cơ)
  • Cơ thể mệt mỏi, suy nhược, một số bệnh nhân sẽ bị khó chịu ở đường tiêu hóa
  • Ho dữ dội, nghẹt mũi, sổ mũi

Năm nhóm người dễ mắc biến chứng nghiêm trọng

So với cảm lạnh thông thường, "mức độ tử vong" của bệnh cúm không nên bị đánh giá thấp. Tiền Quốc Thanh, Trưởng khoa truyền nhiễm tại Bệnh viện trực thuộc Đại học Ninh Ba (Trung Quốc) cho biết, nhiều bệnh nhân đã phải chịu hậu quả nghiêm trọng hoặc thậm chí tử vong vì đánh giá thấp mức độ nguy hiểm của bệnh cúm.

Bệnh cúm "nguy hiểm" hơn bệnh cảm lạnh thông thường. Với những người có chức năng miễn dịch kém, nếu cố gắng chịu đựng thì sức đề kháng của cơ thể sẽ giảm đáng kể, dễ bị nhiễm nhiều loại vi khuẩn khác và dẫn đến viêm phổi nặng.

Virus cúm cũng có thể gây tổn thương các cơ quan quan trọng của cơ thể, đặc biệt là tim, từ đó dẫn đến viêm cơ tim do virus và thậm chí là các biến chứng nghiêm trọng đe dọa tính mạng.

Cúm có khả năng gây nên bệnh nghiêm trọng hơn ở năm nhóm đối tượng:

  • Người trên 65 tuổi
  • Trẻ nhỏ (dưới 5 tuổi, đặc biệt là dưới 2 tuổi)
  • Phụ nữ mang thai
  • Bệnh nhân mắc các bệnh lý nền mãn tính
  • Người có BMI cao (người béo phì)

Nếu những đối tượng này xuất hiện các triệu chứng giống cúm, nên đến bệnh viện hoặc các cơ sở y tế gần nhất càng sớm càng tốt. Bác sĩ Tiền Quốc Thanh cũng cho biết thêm, các biến chứng của bệnh cúm bao gồm viêm phổi, viêm thanh quản, viêm cơ tim, viêm cơ, viêm màng não, viêm não... trong đó viêm phổi là phổ biến nhất và tỷ lệ tử vong do viêm phổi, đặc biệt là viêm phổi nặng cũng rất cao.

Bác sĩ cũng thông tin, mọi lứa tuổi đều có thể là đối tượng của bệnh cúm và cách phòng ngừa hiệu quả nhất là tiêm vắc-xin. Vì hiệu quả của vắc-xin cúm thường kéo dài dưới một năm và các chủng vi-rút phổ biến mỗi năm có thể khác nhau, nên bác sĩ khuyến cáo nên tiêm vắc-xin cúm vào mùa cúm hàng năm.

Nguồn: Sohu

Phạm Trang

Theo Phạm Trang

Cùng chuyên mục
XEM