Hiếm gặp: U tuyến thượng thận siêu nhỏ, hành hạ bệnh nhân 6 năm
Trải qua ca phẫu thuật bóc tách khối u tuyến thượng thận hiếm, kích thước chỉ 9mm lại nằm sâu trong phúc mạc, bệnh nhân Phan Thị Hằng - 51 tuổi cuối cùng đã tìm lại được cơ thể bình thường sau nhiều năm chịu cảnh huyết áp cao, co quắp chân tay vì hạ Kali máu mà không thể tìm ra nguyên nhân.
Bất ngờ tìm ra nguyên nhân của các đợt suy giảm kali hành hạ 6 năm ròng
Bệnh nhân Phan Thị Hằng nhập viện Hồng Ngọc vì huyết áp cao bất thường kèm suy giảm Kali nghiêm trọng, tim đập nhanh, co quắp cứng chân tay. Tình trạng này diễn ra liên tục 6 năm nay, nhưng bệnh nhân đã đi thăm khám tại nhiều nơi mà vẫn không tìm được nguyên nhân.
Theo dõi nồng độ Kali trong máu nhiều ngày bằng xét nghiệm điện giải đồ đều cho kết quả dưới 3.0 mmol/l. Chỉ số Kali máu thấp - đã có thay đổi trên điện tâm đồ, cần nhanh chóng tìm ra nguyên nhân và xử lý để tránh biến chứng suy hô hấp, yếu chân tay, thậm chí là ngừng tuần hoàn có thể xảy đến đột ngột.
Sau khi kiểm tra và khẳng định không phải do các tác nhân thông thường, các bác sĩ đã nghi ngờ cô Hằng mắc phải hội chứng Corn - Một hội chứng hiếm gặp (Cường aldosterol)
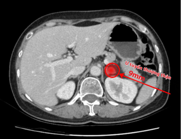
Để kiểm tra nghi ngờ trên, liên chuyên khoa Ngoại - Thận Nội tiết đã tiến hành hội chẩn, cho chỉ định chụp CT ổ bụng và các xét nghiệm đánh giá hoocmon tuyến thượng thận. Kết quả gây bất ngờ khi thực sự đã phát hiện ra một khối u kích thước siêu nhỏ chỉ 9mm ở tuyến thượng thận.

Khối u siêu nhỏ, nằm sâu trong phúc mạc, rất khó phát hiện
Khối u siêu nhỏ nên tiên lượng ca phẫu thuật sẽ rất khó khăn
Ngay lập tức chỉ định nội soi cắt bỏ khối u được đưa ra, nhưng các bác sĩ Hồng Ngọc cũng tiên lượng đây là một ca phẫu thuật rất phức tạp.
Thạc sĩ - Bác sĩ nội trú Nghiêm Đình Lượng nhận định: "Có 3 khó khăn lớn nhất trong quá trình mổ. Thứ nhất, bệnh nhân có tiền sử phẫu thuật ở ổ bụng nhiều lần nên có tình trạng dính trong ổ bụng, việc đặt các troca vào để phẫu thuật đòi hỏi phải cực kỳ khéo léo để không làm tổn thương các tạng."
"Thứ hai: khối u nằm rất sâu trong phúc mạc và dính chặt với các tạng xung quanh do mổ cũ. Việc phẫu tích bộc lộ khối u rất khó khăn. Chỉ một động tác nhỏ không chính xác cũng có thể gây chảy máu ổ bụng, ảnh hưởng rất lớn đến quá trình phẫu tích bộc lộ khối u.’’
Cuối cùng và cũng là yếu tố gây lo lắng nhất cho ekip mổ là kích thước siêu bé của khối u. "Kích thước u chưa đến 1cm nên việc xác định chính xác vị trí và bộc lộ khối u lại khó khăn thêm gấp bội." - Bác sĩ Nghiêm Đình Lượng cho biết thêm.
Bóc tách thành công khối u bằng phương pháp nội soi, bảo toàn chức năng tuyến thượng thận
Thông qua 3 lỗ troca nội soi, quá trình phẫu tích, lách qua đại tràng trái, tìm đường đến đỉnh cực thận và xác định vị trí khối u diễn ra hết sức căng thẳng. Các y bác sĩ trong ekip phải vô cùng cẩn thận trong từng động tác để có thể bảo tồn được thận, dạ dày, đại tràng và hệ thống mạch máu xung quanh.

Ekip phẫu thuật tập trung cao độ để tiếp cận và loại bỏ khối u
Sau 1 giờ đồng hồ tỉ mỉ trong từng thao tác, ekip đã thực hiện ca phẫu thuật rất thành công. Khối u siêu nhỏ đã bộc lộ trọn vẹn và được bóc tách triệt để, chức năng tuyến thượng thận được bảo toàn.

Khối u tuyến thượng thận siêu nhỏ được bóc tách hoàn toàn
Chỉ một ngày sau phẫu thuật, bệnh nhân đã có thể ăn uống và đi lại bình thường, sau hai ngày được rút dẫn lưu ổ bụng. Các xét nghiệm kiểm tra hoocmon tuyến thượng thận và Kali máu đều cho thấy chỉ số đã trở lại bình thường.
"Suốt mấy năm nay, cơn đau co quắp tứ chi cứ tấn công khiến tôi mất hết sức lực, không làm được việc gì. Tôi cứ nghĩ sẽ phải chung sống với tình trạng hạ kali máu này suốt đời. Nhưng thật may mắn, bây giờ tôi cảm giác đã có thể làm chủ cơ thể của mình rồi." - bệnh nhân Hằng chia sẻ.