Hi vọng mới: Phát hiện sớm 4 loại ung thư bằng công nghệ AI
Với khát vọng hiện thực hóa mô hình y tế thông minh theo chủ trương chuyển đổi số quốc gia, đơn vị chính thức đưa vào vận hành hệ thống tầm soát ung thư tích hợp toàn diện Trí tuệ nhân tạo (AI).
GC&Phenikaa Healthcare Center ứng dụng các giải pháp AI hiện đại, đạt các tiêu chuẩn quốc tế khắt khe như FDA (Hoa Kỳ), CE (Châu Âu). Các công nghệ này đảm nhiệm vai trò phân tích chuyên sâu hình ảnh chẩn đoán và dữ liệu xét nghiệm, tự động nhận diện những dấu hiệu bất thường từ giai đoạn rất sớm, bao gồm các tổn thương kích thước nhỏ mà mắt thường dễ bỏ sót, cùng với đó là hệ thống AI chuyên biệt do Tập đoàn GC phát triển có khả năng tự tổng hợp kết quả khám và đưa ra kết luận tự động.
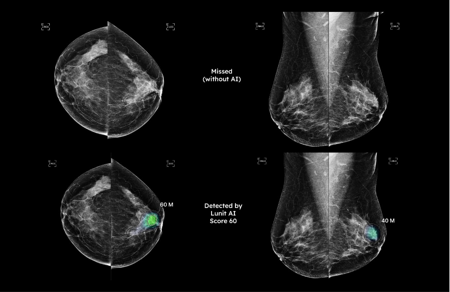
AI tầm soát ung thư vú ứng dụng trong quy trình chụp X-Quang tuyến vú, đã được FDA cấp phép lưu hành theo mã K211678 và đạt chứng nhận tiêu chuẩn châu Âu CE, có khả năng nhận diện chính xác lên đến 97% đối với các tổn thương có kích thước rất nhỏ (từ 2mm) mà mắt thường dễ bỏ sót trong môi trường đọc phim tiêu chuẩn, có khả năng phát hiện các tổn thương ung thư ở thể không tạo khối - dạng tổn thương cực kỳ khó nhận biết trên phim X-quang thông thường, thường là nguyên nhân dẫn đến các trường hợp âm tính giả (bỏ sót bệnh).
AI tầm soát ung thư phổi, đã được FDA Hoa Kỳ cấp phép theo quy trình 510(k) với mã số K201710 và đạt chứng nhận tiêu chuẩn châu Âu CE, tầm soát được 3 nguy cơ tổn thương chỉ với 1 lần chụp CT duy nhất. Nhờ đó sẽ phát hiện tổn thương tổn thương ở phổi và phân loại tổn thương theo thang điểm Lung-RADs với độ chính xác 93,6%. Định lượng cụ thể về tỉ lệ khí phế thũng giúp đánh giá chức năng hô hấp, phát hiện bệnh phổi tắc nghẽn mạn tính (COPD). Tính điểm vôi hóa mạch vành (CAC) giúp các chuyên gia đánh giá chính xác nguy cơ tắc nghẽn mạch vành, nhồi máu cơ tim trong tương lai.

AI tầm soát ung thư đường tiêu hóa, nhận giải thưởng CES Innovation Awards 2 năm liên tiếp, có khả năng phát hiện tổn thương siêu nhỏ từ 1mm ngay trong thời gian thực song song với quy trình nội soi và phân tích toàn diện đặc tính tổn thương để hỗ trợ chẩn đoán.
AI tầm soát ung thư cổ tử cung, đã đạt các chứng nhận uy tín như FDA, CE, cung cấp kết quả chẩn đoán chỉ trong 15-20 phút, giúp phân tích sâu các chỉ số, kịp thời phát hiện những dấu hiệu bất thường và đưa ra định hướng lâm sàng cụ thể.
Các giải pháp AI cũng được tích hợp sẵn trong các trang thiết bị y tế hiện đại, bao gồm các hệ thống chẩn đoán hình ảnh như CT, X-quang, và nội soi, có thể định vị, phân tích và phát hiện tổn thương siêu nhỏ chỉ từ 2-3mm, giúp tối ưu thời gian và quy trình, đồng thời giảm thiểu tối đa lượng bức xạ trong mỗi lần kiểm tra, hiệu quả tầm soát được nâng cao và mức độ an toàn trong suốt quá trình thăm khám luôn được đảm bảo theo tiêu chuẩn quốc tế.
Bên cạnh đó, hiệu quả chẩn đoán tại GC&Phenikaa còn được tối ưu hóa nhờ hệ thống phần mềm quản lý y tế thông minh (HIS). Đóng vai trò như trung tâm xử lý dữ liệu, hệ thống này có khả năng tự động tổng hợp kết quả từ mọi khâu thăm khám – từ các chỉ số xét nghiệm phức tạp đến hình ảnh chẩn đoán chuyên sâu.