Hãng công nghệ sản xuất thành công chip 2mm cấy dưới võng mạc, giúp bệnh nhân mù 30 năm đọc sách trở lại
Một con chip siêu nhỏ đã mang đến "ánh sáng" cho những người mất thị lực do bệnh thoái hóa điểm vàng - căn bệnh vốn không thể chữa khỏi.
Một bác sĩ phẫu thuật đã cấy vi mạch vào 5 bệnh nhân tại Bệnh viện Mắt Moorfields ở London (Vương quốc Anh) cho biết, kết quả của thử nghiệm mang tính quốc tế này thật "đáng kinh ngạc".
Bà Sheila Irvine (70 tuổi) từng bị mù, nói với BBC rằng việc được đọc và giải ô chữ trở lại là một điều kỳ diệu. "Thật tuyệt vời, thật tuyệt vời. Nó mang lại cho tôi rất nhiều niềm vui."

Thiết bị cấy ghép mắt có kích thước 2 mm x 2 mm. Ảnh: Moorfields Eye Hospital
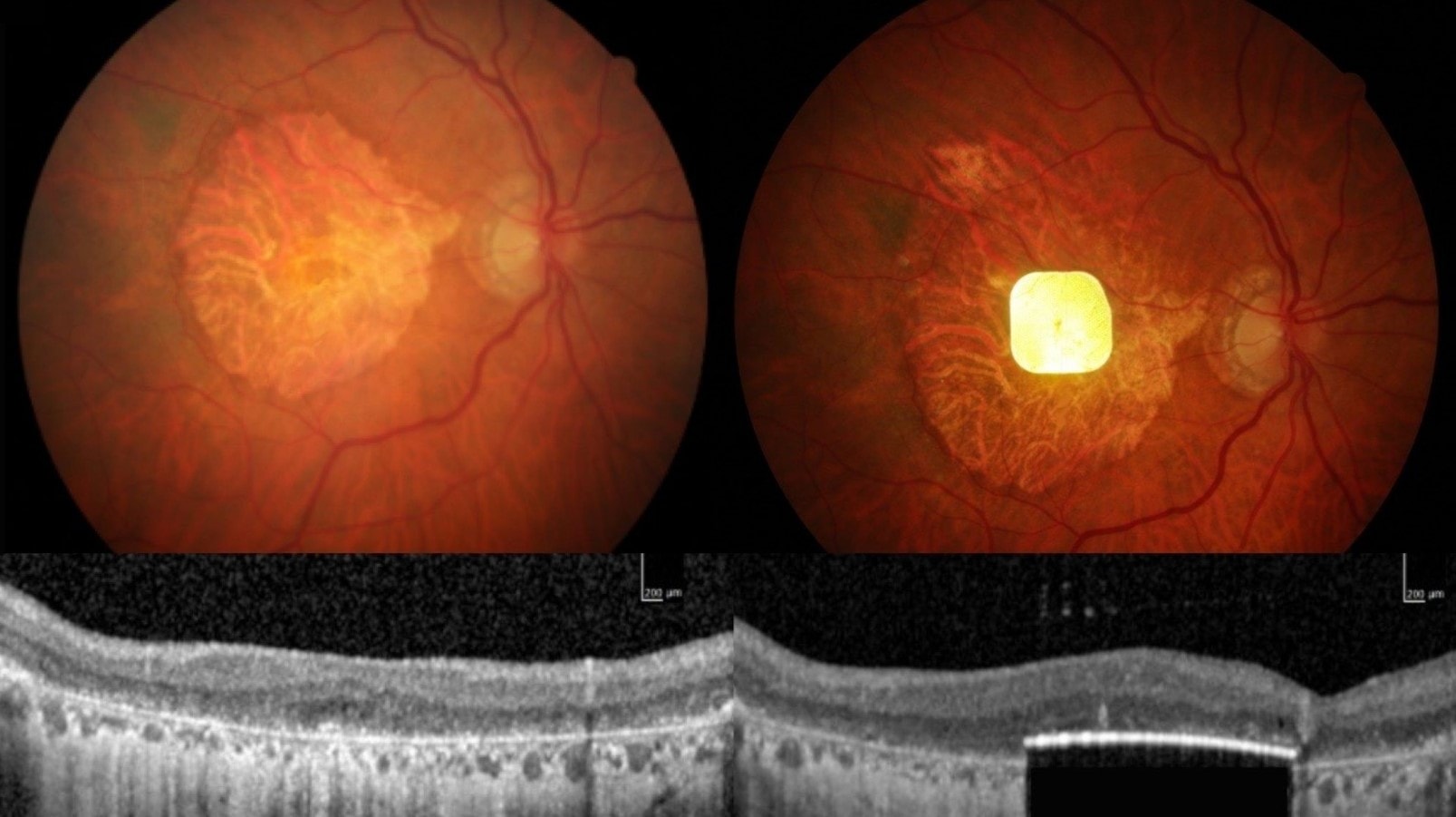
Nghiên cứu về thiết bị cấy ghép Prima, do công ty công nghệ sinh học Science Corporation (Mỹ) sản xuất, được công bố trên Tạp chí Y học New England hôm 20/10. Công nghệ này mang lại hy vọng cho khoảng 250.000 người ở Anh và 5 triệu người trên toàn thế giới bị mất thị lực do thoái hóa điểm vàng liên quan tuổi tác (AMD) thể khô, hay còn gọi là teo địa lý (GA). Đây là tình trạng các tế bào ở trung tâm võng mạc dần chết đi, gây mờ hoặc mất hoàn toàn thị lực trung tâm.
Phương thức hoạt động của thiết bị Prima
Thử nghiệm toàn cầu được tiến hành trên 38 bệnh nhân tại 17 cơ sở ở 5 quốc gia châu Âu. Thiết bị cấy ghép Prima hoạt động nhờ một camera gắn trên cặp kính thực tế tăng cường, ghi lại khung cảnh phía trước. Trí tuệ nhân tạo (AI) sẽ chuyển đổi hình ảnh thành tín hiệu hồng ngoại và chiếu đến vi mạch. Con chip 2x2 mm này sau đó kích thích các tế bào thần kinh không bị tổn thương của võng mạc, giúp chúng truyền tín hiệu lên não thông qua dây thần kinh thị giác để bộ não diễn giải thành hình ảnh.

Mắt trước (trái) và sau (phải) khi cấy chip vào dưới võng mạc - Ảnh: Moorfields Eye Hospital
Hơn 80% trong số bệnh nhân được cấy ghép đã cải thiện thị lực đáng kể. Cụ thể, 27 người có thể đọc lại bằng thị lực trung tâm. Sau một năm, thị lực của họ cải thiện trung bình 25 chữ cái, tương đương 5 dòng trên biểu đồ đo mắt.
Đối với bà Sheila, sự cải thiện còn rõ rệt hơn nữa. Nếu không có cấy ghép, bà ấy hoàn toàn không thể đọc được. Khi thực hiện kiểm tra thị lực tại bệnh viện, bà lão 70 tuổi không hề mắc một lỗi nào. Sau khi đọc xong, bà Sheila vỗ tay và reo hò hạnh phúc.
Mahi Muqit, bác sĩ phẫu thuật nhãn khoa tại Bệnh viện mắt Moorfields, người đứng đầu nhóm thử nghiệm tại Anh, nói với BBC rằng đây là "công nghệ tiên phong và có thể thay đổi cuộc sống".

Cách thức hoạt động của chip Prima
"Họ là những bệnh nhân lớn tuổi không còn khả năng đọc, viết hay nhận diện khuôn mặt. Họ đã đi từ bóng tối đến việc có thể bắt đầu sử dụng lại thị lực của mình", ông Mahi Muqit, nói và bày tỏ: "Trong lịch sử thị giác nhân tạo, điều này đại diện cho một kỷ nguyên mới. Bệnh nhân mù có thể phục hồi thị lực trung tâm một cách có ý nghĩa, điều chưa từng làm được trước đây".
Ánh sáng trở lại sau 30 năm sống trong bóng tối
Bà Sheila Irvine là một trong những bệnh nhân đầu tiên ở London được thử nghiệm cấy chip. Trước đó, bà mất thị lực trung tâm hơn 30 năm và phải sống với "hai đĩa đen" trước mắt. "Tôi từng là người nghiện sách và rất muốn đọc lại được", bà chia sẻ.
Nhưng sau khi cấy ghép chip cách đây khoảng ba năm, bà rất vui mừng vì sự tiến triển của y học.
Việc sử dụng thiết bị đòi hỏi sự tập trung cao độ. Bà Irvine cho biết phải giữ đầu rất yên để đọc và thường chỉ sử dụng nó ở nhà. Có lúc, bà cần chuyển thiết bị sang chế độ phóng đại, đặc biệt là để phân biệt chữ C và chữ O.
"Tôi có thể đọc bài viết, đọc sách, giải ô chữ và Sudoku. Tôi là một chú thỏ hạnh phúc. Công nghệ ngày nay đang phát triển mạnh mẽ, và thật mừng khi tôi được là một phần trong đó", bà Sheila chia sẻ.

Bà Sheila Irvine hạnh phúc khi đọc được sách sau 30 năm mất thị lực
Các chuyên gia cũng lưu ý công nghệ này không hiệu quả với người bị tổn thương dây thần kinh thị giác.
Hiện thiết bị Prima chưa được cấp phép thương mại, không rõ chi phí ra sao. Dù vậy, ông Muqit hy vọng chúng có thể được Dịch vụ Y tế Quốc gia Anh (NHS) triển khai "trong vòng vài năm tới".
Tiến sĩ Peter Bloomfield, Giám đốc nghiên cứu tại Macular Society (Hiệp hội Điểm vàng), cho biết kết quả này "đáng khích lệ" và là "tin tuyệt vời" cho những bệnh nhân hiện không có phương pháp điều trị nào.
"Tầm nhìn nhân tạo có thể mang lại nhiều hy vọng cho nhiều người, đặc biệt là sau những thất vọng trước đây trong lĩnh vực điều trị AMD khô. Chúng tôi hiện đang theo dõi chặt chẽ để xem liệu cấy ghép Prima có được chấp thuận sử dụng tại Vương quốc Anh hay không và quan trọng là liệu nó có được cung cấp cho NHS hay không."
Theo BBC