Cô gái trẻ thường xuyên tăng huyết áp không ngờ mắc u tuyến thượng thận
Mới 30 tuổi, cô gái thường xuyên bị tăng huyết áp dù còn rất trẻ, đi khám mới biết bị u tuyến thượng thận, bệnh lý hiếm gặp nhưng gây biến chứng nguy hiểm.
Tăng huyết áp không rõ nguyên nhân suốt 1 năm trời
Chị N.M.P (30 tuổi), ở Quảng Ninh vốn có lối sống lành mạnh: ăn uống điều độ, không hút thuốc, không dùng rượu bia và không sử dụng các chất kích thích. Nhưng hơn một năm trở lại đây chị P liên tục gặp tình trạng chóng mặt, tim đập nhanh, thở dốc, huyết áp ở mức cao: 160/100 mmHg đi thăm khám nhiều lần tại các bệnh viện nhưng vẫn chưa tìm được nguyên nhân chính xác. Bệnh tình kéo dài lặp lại nhiều lần suốt một năm qua khiến sức khỏe và tinh thần chị P ngày càng giảm sút.
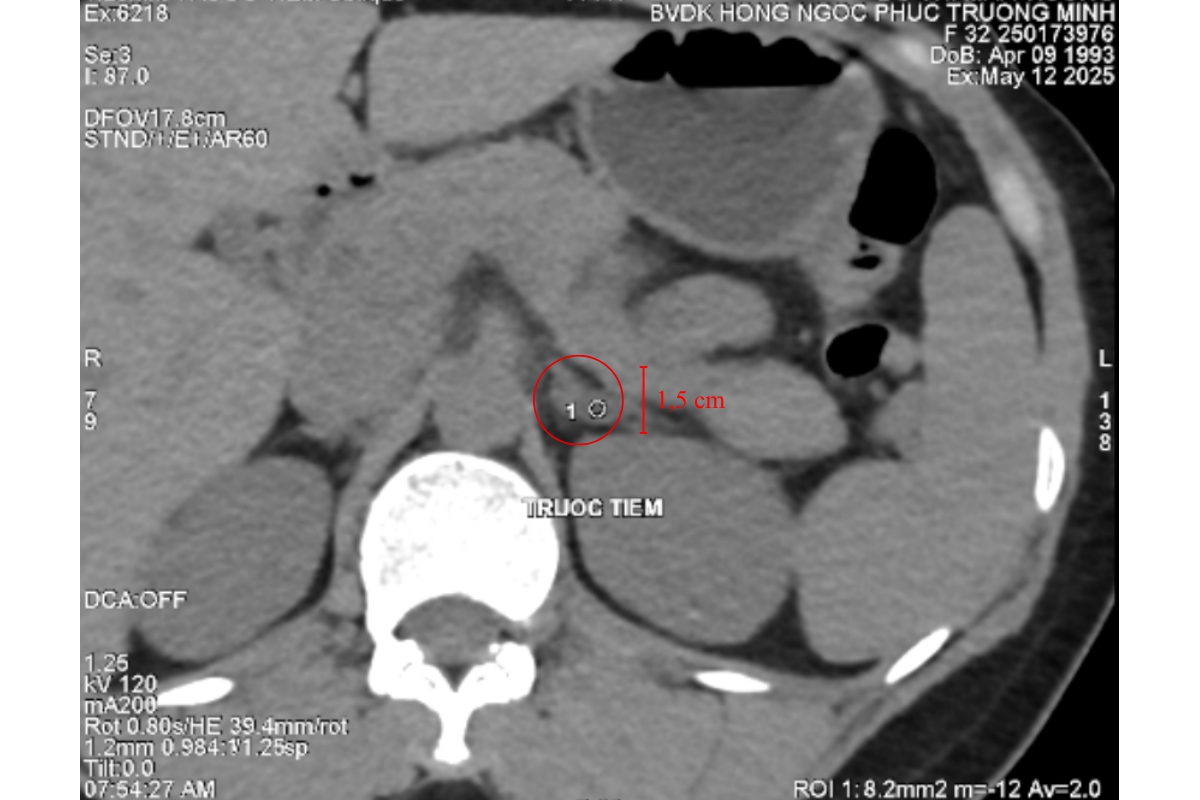
Trong một chuyến công tác tại Hà Nội, chị P quyết định đến thăm khám tại Bệnh Viện Đa Khoa Hồng Ngọc. Từ khai thác tiền sử và các triệu chứng lâm sàng, các bác sĩ nghi ngờ chị P mắc u tuyến thượng thận, một bệnh lý về nội tiết rất hiếm gặp, có thể thường xuyên gây tăng huyết áp đột ngột. Kết quả chụp cắt lớp vi tính ổ bụng không nằm ngoài dự đoán, chị P có 1 khối u tuyến thượng thận kích thước 1,5cm nằm ở tuyến thượng thận trái. ThS.BS CKII Trịnh Minh Thanh người trực tiếp thăm khám cho bệnh nhân nhận định: “Đây chính là nguyên nhân khiến bệnh nhân thường xuyên bị tăng huyết áp nội sinh, kéo dài suốt một thời gian nhưng chưa được phát hiện”.

Khối u tuyến thượng thận trái, kích thước 1,5cm
Ngay sau đó ThS.BS CKII Trịnh Minh Thanh Trưởng đơn nguyên Ngoại - Tiết Niệu BVĐK Hồng Ngọc, đã cùng đội ngũ ê kíp bác sĩ giàu kinh nghiệm đã tiến hành phẫu thuật nội soi bóc tách khối u.
Dù kích thước chỉ 1,5cm khối u tuyến thượng thận nằm sâu trong khoang sau phúc mạc, gần đuôi tụy vị trí hẹp và gần nhiều cấu trúc quan trọng như mạch máu lớn và thận. Phẫu thuật nội soi trong trường hợp này đòi hỏi bác sĩ phải xác định chính xác vị trí khối u, kiểm soát tốt vùng mổ và thao tác khéo léo để tránh tổn thương mô lành. Với sự hỗ trợ của hệ thống nội soi hiện đại, sau 2 giờ ca mổ diễn ra an toàn, ít xâm lấn và hỗ trợ bệnh nhân hồi phục nhanh chóng.

Bác sĩ Trịnh Minh Thanh cùng ê kíp bác sĩ tại BVĐK Hồng Ngọc phẫu thuật bóc tách khối u
U tuyến thượng thận - "thủ phạm" đứng sau bệnh tăng huyết áp nhưng dễ bị bỏ qua
Tuyến thượng thận là cơ quan nội tiết nhỏ nằm phía trên thận, đóng vai trò quan trọng trong việc sản xuất hormone giúp điều hòa huyết áp, cân bằng nước, điện giải và kiểm soát quá trình chuyển hóa của cơ thể.
Theo ThS.BS CKII Trịnh Minh Thanh Trưởng Đơn nguyên Ngoại - Tiết Niệu BVĐK Hồng Ngọc, u tuyến thượng thận thường được chia thành hai loại: u không tiết hormone và u có tiết hormone. Với loại không tiết, cơ thể vẫn hoạt động bình thường và không có triệu chứng rõ rệt. Tuy nhiên, với u có tiết hormone người bệnh có thể gặp nhiều rối loạn do cơ thể sản sinh ra quá nhiều hormone một cách bất thường.
Nếu khối u nằm ở vùng vỏ tuyến thượng thận, cơ thể sẽ sản sinh ra nhiều hormone aldosterone, đây là loại hormone làm tăng giữ muối và nước. Hậu quả là người bệnh dễ bị hạ Kali và hạ Canxi trong máu, dẫn đến các triệu chứng như mệt mỏi, chuột rút, thậm chí gây ra rối loạn nhịp tim.
Ở một số trường hợp khác, đặc biệt là khi u nằm ở vùng tủy thượng thận, khối u có thể tiết ra một lượng lớn hormone gây co thắt mạch khiến huyết áp tăng vọt và đột ngột, rất khó kiểm soát bằng thuốc thông thường. Các cơn tăng huyết áp này thường đi kèm triệu chứng như đau đầu, hồi hộp, toát mồ hôi, tim đập nhanh.
“Tình trạng tăng huyết áp này là do hormone từ tuyến thượng thận giữ quá nhiều muối và nước, làm tăng thể tích máu lưu thông. Khi đó áp lực trong mạch máu tăng lên, tim phải làm việc nhiều hơn, đập nhanh hơn để bơm máu đi khắp cơ thể dẫn đến huyết áp tăng cao,” bác sĩ Trịnh Minh Thanh giải thích.

Bác sĩ Trịnh Minh Thanh giải thích cho chị P sau ca phẫu thuật
Thực tế nhiều người khi bị tăng huyết áp thường cho rằng đó là do căng thẳng, ăn uống không lành mạnh hoặc do tuổi tác, mà không ngờ rằng một số trường hợp tăng huyết áp lại bắt nguồn từ khối u tuyến thượng thận, nguyên nhân ít được nghĩ tới nhưng có thể gây ra rối loạn nội tiết nghiêm trọng.
Chính vì vậy, các bác sĩ khuyến cáo với những trường hợp tăng huyết áp kéo dài, điều trị khó kiểm soát đặc biệt trên đối tượng người trẻ, bệnh nhân nên chủ động thực hiện tầm soát sức khỏe chuyên sâu, bao gồm xét nghiệm nội tiết, siêu âm ổ bụng hoặc chụp cắt lớp tuyến thượng thận để tìm nguyên nhân chính xác. Việc phát hiện sớm u tuyến thượng thận không chỉ giúp điều trị kịp thời mà còn phòng ngừa được nhiều biến chứng nguy hiểm như hội chứng Cushing, suy tim, tai biến mạch máu não, thậm chí hôn mê hoặc liệt nửa người trong nhiều trường hợp nặng.

Bác sĩ Trịnh Minh Thanh chia sẻ
Trong trường hợp gặp các dấu hiệu bất thường về huyết áp, bệnh nhân có thể thăm khám tại Bệnh viện Đa khoa Hồng Ngọc, bệnh viện đạt chứng chỉ chất lượng quốc tế ACHS, với đội ngũ bác sĩ giàu kinh nghiệm. Khoa Ngoại - Tiết Niệu của bệnh viện được trang bị đầy đủ thiết bị hiện đại, hỗ trợ chẩn đoán và điều trị các bệnh lý liên quan một cách chính xác, kịp thời.