Cô gái 20 tuổi mắc "bệnh lạ" nhảy múa không ngừng suốt 5 ngày, nguồn gốc từ căn bệnh nhiều người mắc tại Việt Nam
"Bệnh lạ" này xuất phát từ căn bệnh nhiều người mắc tại Việt Nam.
Tiểu Văn (ở Trung Quốc) không thể ngờ rằng, ở tuổi 20, cơ thể mình lại có ngày “mất kiểm soát”. Tay trái và chân trái của cô liên tục co giật, xoắn vặn như đang nhảy múa, hoàn toàn không thể khống chế. Ban đầu, Tiểu Văn nghĩ mình chỉ quá mệt mỏi. Nhưng khi các cử động bất thường xuất hiện ngày càng dày, cô buộc phải đến khám tại khoa Thần kinh, Bệnh viện trực thuộc Đại học Khoa học và Công nghệ Nam Phương (Trung Quốc).
Theo lời kể, trong 5 ngày trước khi nhập viện, Tiểu Văn bắt đầu thấy tay và chân bên trái tự động vặn vẹo không chủ ý, đặc biệt nặng hơn vào ban đêm và tiến triển tăng dần từng ngày. Không có chấn thương, không sốt, cũng không có tiền sử thần kinh, vậy vì sao cơ thể lại “tự nhảy múa”?
Sau khi tiếp nhận ca bệnh, bác sĩ trưởng khoa Thần kinh Bạch Xuân Yến đã hỏi rất kỹ tiền sử sinh hoạt và lập tức chỉ định đo đường huyết ngẫu nhiên. Kết quả khiến tất cả giật mình: đường huyết lên tới 31,2 mmol/L, cao gấp khoảng 5 lần so với mức bình thường.
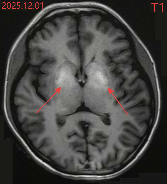
Kết quả chụp cộng hưởng từ sọ não của Tiểu Văn
Các xét nghiệm chuyên sâu sau đó còn đáng lo ngại hơn. Chỉ số HbA1c (đường huyết trung bình trong 2–3 tháng) của Tiểu Văn đạt 17,7%, trong khi mức bình thường cần dưới 6,5%. Điều này cho thấy tình trạng tăng đường huyết đã tồn tại kéo dài trong thời gian dài mà không được phát hiện. Chụp cộng hưởng từ (MRI) não cho thấy vùng hạch nền, khu vực nằm sâu trong não, chịu trách nhiệm điều phối vận động, đã xuất hiện tín hiệu bất thường. Các bác sĩ ví đây như “vết bỏng” của não do đường huyết cao kéo dài gây ra.
Dựa trên lâm sàng và hình ảnh học, bác sĩ chẩn đoán Tiểu Văn mắc bệnh lý vân não do đái tháo đường (DS) . Đây là một biến chứng hiếm gặp của bệnh đái tháo đường, thường gặp ở người lớn tuổi có kiểm soát đường huyết kém trong thời gian dài. Việc bệnh xuất hiện ở một cô gái 20 tuổi, chưa từng được chẩn đoán đái tháo đường trước đó, được xem là trường hợp rất hiếm.
Tiểu Văn được điều trị bằng insulin để hạ đường huyết, kết hợp thuốc an thần chống co giật và thuốc kháng loạn thần nhằm kiểm soát các cử động múa giật. Đường huyết dần ổn định, các cử động bất thường giảm rõ. Đến ngày thứ tư, triệu chứng đã thuyên giảm đáng kể, và sang ngày thứ chín, các động tác múa giật ở tay trái gần như biến mất hoàn toàn. Hiện bệnh nhân đã xuất viện và tiếp tục được theo dõi, điều trị ngoại trú.
Nguyên nhân đường huyết tăng vọt là nhiều sở thích của người trẻ
Theo bác sĩ Bạch Xuân Yến, gốc rễ của tình trạng tăng đường huyết nghiêm trọng ở Tiểu Văn đến từ lối sống tưởng như “bình thường” nhưng thực chất rất có hại. Cô làm việc từ 10 giờ sáng đến 9 giờ tối, thường chỉ ăn một đến hai bữa chính mỗi ngày. Nhiều ngày, sau giờ làm, cô không còn cảm giác đói và bỏ bữa tối. Thói quen “một bữa cho cả ngày” này kéo dài suốt khoảng 3 tháng.
Dù ăn ít, Tiểu Văn lại thường xuyên uống đồ ngọt. Trà sữa hoặc trà hoa quả xuất hiện đều đặn khoảng ba lần mỗi tuần. Vận động gần như không có, ngoài quãng đường ngắn đi bộ từ cửa hàng về ký túc xá. Đáng chú ý, tình trạng mất ngủ kéo dài, cô thường nằm lên giường sau 1 giờ sáng nhưng phải đến gần 3 giờ mới chợp mắt.
Cùng thời điểm tay chân bắt đầu co giật, cân nặng của Tiểu Văn cũng sụt nhanh bất thường, trung bình mỗi ngày giảm khoảng nửa ký, một dấu hiệu điển hình của đái tháo đường nhưng đã bị bỏ qua.
Bệnh hiếm, nhưng không phải không thể gặp ở người trẻ
Các bác sĩ cho biết, bệnh lý vân não do đái tháo đường xảy ra khi đường huyết tăng cao kéo dài làm tổn thương vùng não kiểm soát vận động. Tín hiệu thần kinh bị “nhiễu loạn”, khiến một bên tay hoặc chân cử động vô mục đích, không thể tự kiểm soát, trông như đang múa giật. Các cử động này thường rõ hơn khi người bệnh căng thẳng hoặc xúc động.
Dù hiếm gặp và chủ yếu xuất hiện ở người cao tuổi, trường hợp của Tiểu Văn cho thấy đái tháo đường đang ngày càng trẻ hóa. Trước khi nhập viện khoảng một tháng, cô đã xuất hiện các triệu chứng điển hình như khát nước nhiều, nhanh đói, sụt cân, nhưng không đi kiểm tra, bỏ lỡ “tín hiệu cầu cứu” của cơ thể.
Bác sĩ khuyến cáo, người trẻ cũng cần kiểm tra sức khỏe định kỳ, trong đó xét nghiệm đường huyết là bước đơn giản nhưng rất quan trọng. Nên ăn uống đúng bữa, tránh để quá đói rồi ăn dồn; hạn chế đồ uống nhiều đường, coi nước lọc là lựa chọn chính; ngủ đủ giấc, cố gắng đi ngủ trước 23 giờ; duy trì vận động hằng tuần, dù chỉ là đi bộ nhanh. Khi xuất hiện các dấu hiệu như sụt cân nhanh không rõ nguyên nhân, khát nước nhiều, tiểu nhiều, hoặc cử động cơ thể bất thường, cần đi khám sớm để tránh những biến chứng nguy hiểm như trường hợp trên.
Nguồn và ảnh: Sohu
