Chàng trai sinh năm 2000 choáng váng khi biết mắc ung thư: "Tôi không uống rượu, hút thuốc, thức khuya, cũng không thấy khó chịu"

Theo Ngọc Ái | 04/08/2025 09:21 AM | Sống  »  Sức khỏe

Tuổi còn trẻ, sống lành mạnh nhưng lại mắc ung thư hiếm gặp ở giai đoạn muộn, anh Phong cảm thấy “oan ức vô cùng”.

Anh Phong sinh năm 2000, vì hoàn cảnh gia đình mà phải tốt nghiệp đại học muộn, mới đi làm được vài tháng tại một công ty lớn tại Hàng Châu (Chiết Giang, Trung Quốc). Vì công việc yêu cầu, anh tới khám sức khỏe tổng quát tại một phòng khám tư. Khi bác sĩ hỏi anh có gặp dấu hiệu bất thường gì hay không, anh rất tự tin trả lời là không. Nhưng nghĩ lại, thời gian gần đây mình ăn nhanh no, chướng bụng, đau nhẹ nhưng âm ỉ - dù không nghiêm trọng nhưng tiện nên nhờ bác sĩ kiểm tra.

Thật không ngờ, bác sĩ cho rằng anh Phong có khối u ác tính trong khoang bụng. Bởi vì cơ sở vật chất của phòng khám còn hạn chế nên giới thiệu anh tới Bệnh viện Nhân dân số 1 Hàng Châu (còn gọi Bệnh viện Ung thư Hàng Châu) để khám kỹ hơn.

Anh Phong vừa bất ngờ vừa thấy rất nực cười. Bởi anh luôn cho rằng những khó chịu rất nhẹ kia là do anh mới đi làm - chưa quen với áp lực công việc, ăn uống thất thường. Anh vẫn còn rất trẻ, cơ thể khỏe mạnh, tập thể dục nên nhiều cơ bắp. Hơn nữa, anh không uống rượu, không hút thuốc, cực hiếm khi thức quá 13 giờ thì làm sao mắc ung thư được?

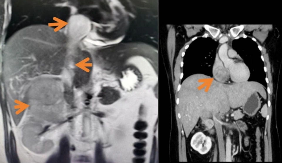
Hình ảnh khối u tuyến thượng thận 10cm, chèn ép tĩnh mạch của nhân vật (NV cung cấp)

Sau 3 ngày suy ngẫm, cuối cùng anh Phong cũng chịu tới bệnh viện lớn nhưng lại để chứng minh rằng bác sĩ tư trước đó đã sai. Tuy nhiên, người sai lầm lại chính là anh. Anh đã quá chủ quan, ỷ lại vào tuổi trẻ mà xem nhẹ những dấu hiệu bệnh tật của mình.

Kết quả chụp CT phát hiện trong ổ bụng của anh xuất hiện một khối u lớn kèm huyết khối tĩnh mạch chủ dưới. Theo lời bác sĩ tại Bệnh viện Nhân dân số 1 Hàng Châu (Chiết Giang, Trung Quốc), đó là ung thư vỏ thượng thận phải. Kích thước lớn tới 10cm và vị trí sát gan và thận, đang chèn ép mạch máu quan trọng. Kèm theo đó là một khối huyết khối lan đến tĩnh mạch chủ dưới và tâm nhĩ phải. Tình trạng này không chỉ đe dọa tính mạng mà còn đặc biệt hiếm gặp, nhất là ở người trẻ tuổi.

Cảnh giác với những dấu hiệu của loại ung thư hiếm gặp nhưng cực kỳ nguy hiểm!

Cũng theo bác sĩ điều trị của anh Phong, thông thường thì khoảng 90% khối u tuyến thượng thận là lành tính. Nếu không tiết hormone và không gây rối loạn chức năng, chúng chỉ cần theo dõi định kỳ. Tuy nhiên, trường hợp của chàng trai trẻ này lại rơi vào nhóm 10% còn lại - u vỏ thượng thận ác tính, một loại ung thư hiếm, tiến triển nhanh và có nguy cơ di căn tại chỗ cao. Tình trạng của anh còn kèm theo huyết khối tĩnh mạch chủ và tim nên rất nguy hiểm, cần phẫu thuật gấp.

Những triệu chứng ung thư tuyến thượng thận thường khó phát hiện, nhất là vưới người trẻ (Ảnh minh họa)

Sau rất nhiều nỗ lực, may mắn là ca phẫu thuật loại bỏ khối u và huyết khối ung thư độ IV đã được thực hiện thành công. Hiện tại anh Phong đã xuất viện và tiếp tục theo dõi định kỳ. Nhân trường hợp này, bác sĩ cũng cảnh báo rằng ung thư tuyến thượng thận tuy hiếm gặp nhưng cực nguy hiểm, dễ di căn và khó phát hiện sớm. Vì vậy, đừng bao giờ chủ quan với các dấu hiệu như:

- Huyết áp cao không rõ nguyên nhân, đặc biệt là ở người trẻ. - Tăng huyết áp kịch phát kèm đau đầu, hồi hộp, vã mồ hôi - triệu chứng điển hình của u tủy thượng thận.

- Hạ kali máu kéo dài dù đã điều trị.

- Tăng cân, nhất là tích mỡ nhiều ở mặt và bụng, có bướu sau gáy.

- Cơ thể rất dễ bầm tím.

- Suy yếu cơ bắp, mệt mỏi dai dẳng.

- Đau bụng âm ỉ kéo dài, sờ thấy khối u vùng bụng.

- Rối loạn nội tiết, khiến nữ giới xuất hiện các dấu hiệu như rụng tóc đầu, giọng trầm, mất kinh, nổi mụn. Còn nam giới có thể bị vú to, giảm ham muốn, rối loạn cương.

Nếu ung thư tuyến thượng thận được phát hiện sớm khi còn khu trú, tỷ lệ sống sau 5 năm là 80%, nhưng khi đã di căn, chỉ còn khoảng 38%. Bệnh có thể xảy ra cả ở người trẻ, khỏe mạnh mà không có triệu chứng rõ ràng.

Nguồn và ảnh: QQ, Cancer123


Theo Ngọc Ái

Cùng chuyên mục
XEM