Bác sĩ Mỹ khuyên người phụ nữ về Việt Nam điều trị ung thư

Theo Như Loan/VTC | 10/06/2025 21:30 PM | Sống  »  Sức khỏe

Bị ung thư dạ dày giai đoạn muộn, sang Mỹ tìm hy vọng, chị Quyên bất ngờ được bác sĩ nước ngoài khuyên trở lại Việt Nam chữa trị.

Chị Quyên, 50 tuổi, phát hiện ung thư dạ dày giai đoạn muộn sau hai tháng đau bụng, nôn ói và sụt 10 kg cuối năm 2024. Tại Bệnh viện Đa khoa Tâm Anh Hà Nội, chị được chẩn đoán ung thư di căn phúc mạc, phổi và buồng trứng.

Bác sĩ đề xuất phác đồ điều trị gồm hóa trị kết hợp thuốc miễn dịch, đặt stent tá tràng để cải thiện tiêu hóa, giúp ăn uống tốt hơn.

Chị Quyên quyết định sang Mỹ kiểm tra lại trước khi điều trị. Chị cũng hy vọng có phác đồ tối ưu hơn ở Mỹ, nhưng bác sĩ lại khuyên về Việt Nam điều trị vì phác đồ, thuốc men và dịch vụ chăm sóc tương đương.

Trở lại Việt Nam, chị tuân thủ điều trị tại Bệnh viện Tâm Anh. Sau ba đợt truyền thuốc và đặt stent, các triệu chứng giảm rõ rệt, chị ăn uống tốt, CT cho thấy khối u giảm kích thước, không phát hiện thêm tổn thương mới.

ThS.BS Trần Ngọc Hải, khoa Ung bướu, hỗ trợ gửi toàn bộ hình ảnh, xét nghiệm sang Mỹ để các bác sĩ nước ngoài đồng thời theo dõi, giúp bệnh nhân yên tâm.

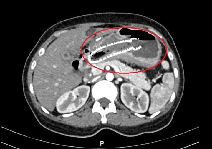
Ảnh chụp CT của chị Quyên cho thấy khối u dạ dày chèn ép tá tràng. (Ảnh: BVCC)

Tương tự, anh Đức, 58 tuổi, bị ung thư đại trực tràng di căn gan, từng điều trị hóa chất tại Singapore sau ca phẫu thuật ở Việt Nam. Tuy nhiên, sau 6 đợt truyền, anh quyết định trở về nước do chi phí điều trị ở Singapore lên tới vài tỷ đồng, gấp 7 lần tại Việt Nam, chưa kể bất tiện đi lại.

Tại Bệnh viện Tâm Anh, anh tiếp tục điều trị theo phác đồ nối tiếp từ Singapore, kết hợp hóa chất và chăm sóc giảm nhẹ. Kết quả xét nghiệm sau đợt điều trị cho thấy chỉ số CEA giảm còn 19, khối u được kiểm soát, không xuất hiện di căn mới.

Theo TS.BS Vũ Hữu Khiêm, Trưởng khoa Ung bướu Bệnh viện Tâm Anh, ngày càng nhiều bệnh nhân ung thư có điều kiện kinh tế tốt chọn khám ở Việt Nam, đồng thời tham khảo thêm ý kiến từ các trung tâm ung thư lớn như Mỹ, Singapore, Nhật Bản trước khi quyết định điều trị.

Tuy nhiên, không ít trường hợp được chính bác sĩ nước ngoài khuyên nên về nước chữa trị do chất lượng phác đồ, thuốc men và dịch vụ y tế tại Việt Nam không thua kém.

“Chúng tôi thường xuyên trao đổi thông tin với các bệnh viện quốc tế để cập nhật hồ sơ điều trị, từ đó xây dựng phác đồ tiếp nối liền mạch và phù hợp với tình trạng hiện tại của người bệnh”, bác sĩ Khiêm nói.

Những năm gần đây, điều trị ung thư tại Việt Nam đạt nhiều bước tiến, từ phẫu thuật nội soi, robot, xâm lấn tối thiểu đến việc cập nhật đầy đủ các thuốc miễn dịch, thuốc nhắm trúng đích mới nhất.

Việt Nam lần đầu tiên hợp tác với Đại học Stanford (Mỹ) trong nghiên cứu thuốc miễn dịch đường uống RBS2418, thuộc dự án VISTA-1 giai đoạn 2A, giúp người bệnh tiếp cận thuốc thử nghiệm tiên tiến mà không cần ra nước ngoài.

Theo thống kê Globocan, năm 2022 Việt Nam ghi nhận hơn 180.000 ca ung thư mới, 120.000 ca tử vong. Tỷ lệ mắc đứng thứ 91, tỷ lệ tử vong xếp thứ 50/185 quốc gia. Bộ Y tế cho biết mỗi năm người Việt chi khoảng 2 tỷ USD ra nước ngoài khám, chữa bệnh, trong đó ung thư là nhóm bệnh có tỷ lệ người đi nước ngoài điều trị cao nhất do tính chất phức tạp và yêu cầu kỹ thuật cao.

Theo Như Loan/VTC

Cùng chuyên mục
XEM