Bác sĩ bệnh viện 115 cảnh báo: Hút shisha có thể gây đột quỵ và huyết khối

Diệu Đan | 08/09/2025 19:00 PM | Sống  »  Sức khỏe

Theo WHO, hút shisha khiến nguy cơ ung thư miệng tăng gấp 4 lần; nguy cơ ung thư thực quản tăng gấp 2,65 lần, nguy cơ ung thư phổi tăng gấp 2,12 lần, nguy cơ xơ vữa động mạch nặng tăng gấp 3 lần.

Ẩn sau mùi thơm ngọt ngào và làn khói dày đặc, shisha từ lâu được nhiều người trẻ coi như "trò tiêu khiển thời thượng" trong các quán bar, lounge. Thế nhưng, những gì tưởng chừng vô hại lại chứa đựng nhiều nguy cơ sức khỏe nghiêm trọng, và từ ngày 1/1/2025, loại hình thuốc lá này đã bị cấm hoàn toàn tại Việt Nam.

Shisha bị cấm ra sao?

Theo Công văn 2483/BYT-KCB (2021), Việt Nam ghi nhận sự gia tăng nhanh chóng của nhiều sản phẩm thuốc lá mới, gồm thuốc lá điện tử (ENDS), thuốc lá nung nóng (HTPs) và shisha. Tổ chức Y tế Thế giới (WHO) đã nhiều lần cảnh báo: tất cả các sản phẩm này đều chứa nicotine - chất gây nghiện mạnh cùng nhiều phụ gia hóa học độc hại. Riêng thuốc lá điện tử, trong quá trình sản xuất có thể sử dụng tới 15.500 loại hương liệu, nhiều loại chưa từng được đánh giá đầy đủ về độ an toàn.

Trước thực trạng đó, Quốc hội Việt Nam đã thông qua Nghị quyết 173/2024/QH15, quy định từ ngày 1/1/2025: nghiêm cấm sản xuất, kinh doanh, nhập khẩu, vận chuyển, tàng trữ và sử dụng các loại shisha, thuốc lá điện tử và thuốc lá nung nóng. Mục tiêu của lệnh cấm được nhấn mạnh là bảo vệ sức khỏe cộng đồng, giảm gánh nặng bệnh tật và giữ gìn trật tự xã hội.

Hiện tại, chưa có khung xử phạt riêng cho hành vi sử dụng shisha. Tuy nhiên, nếu sản phẩm có chứa chất ma túy, người sử dụng có thể bị phạt hành chính từ 1-2 triệu đồng, theo Nghị định 144/2021/NĐ-CP.

Bác sĩ bệnh viện 115 cảnh báo: Hút shisha có thể gây đột quỵ và huyết khối- Ảnh 1.

Shisha gây nên những mối nguy hại khôn lường tới sức khoẻ

1 giờ hút shisha = 100 điếu thuốc lá

Một trong những hiểu lầm phổ biến nhất là "hút shisha ít hại hơn thuốc lá điếu". GS.TS Ngô Quý Châu, Giám đốc chuyên môn phụ trách khối Nội hô hấp - BV Đa khoa Tâm Anh, chỉ ra đây là quan niệm sai lầm. Thành phần khói shisha chứa đầy đủ nicotine, CO, nhựa thuốc lá và nhiều chất gây ung thư. Việc lọc qua nước không hề làm giảm độc tố, thậm chí còn khiến quá trình hấp thu trở nên mạnh hơn.

Theo WHO và Hội Ung thư Mỹ, chỉ một giờ hút shisha, lượng khói đi vào phổi tương đương với 100 điếu thuốc lá, tức từ 0,15 đến 1 lít khói . Nghiên cứu công bố năm 2010 cũng cho thấy: Nguy cơ ung thư miệng tăng gấp 4 lần. Nguy cơ ung thư thực quản tăng gấp 2,65 lần. Nguy cơ ung thư phổi tăng gấp 2,12 lần. Nguy cơ xơ vữa động mạch nặng tăng gấp 3 lần.

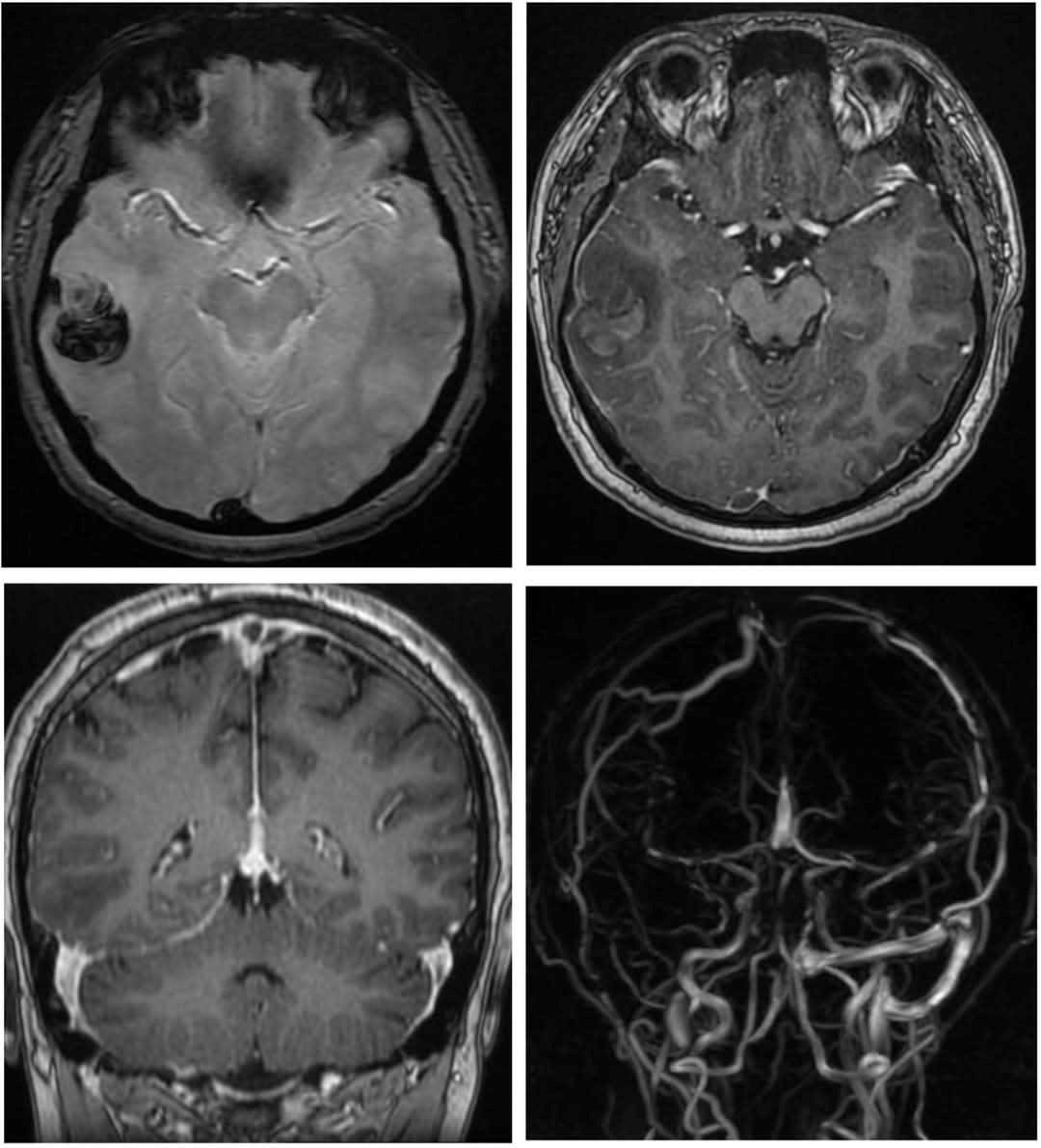
PGS.TS Nguyễn Huy Thắng -Trưởng khoa Bệnh lý mạch máu não, Bệnh viện Nhân dân 115 (TP.HCM), cảnh báo: hút shisha thường xuyên có thể trực tiếp gây huyết khối và đột quỵ. Trong tháng 3/2025, ông từng tiếp nhận một bệnh nhân 22 tuổi ở Cà Mau bị xuất huyết não nguy kịch, có tiền sử hút shisha dài ngày.

Cơ chế được giải thích như sau: Nicotine làm tăng đông máu. Khí CO làm giảm oxy, gây stress cho hệ tuần hoàn. Kim loại nặng như chì, cadmium cùng các hợp chất hữu cơ độc hại gây viêm và tổn thương nội mạc tĩnh mạch.

Tất cả tạo môi trường lý tưởng để huyết khối hình thành, làm tăng nguy cơ nhồi máu não và đột quỵ ngay cả ở người trẻ.

Những "chiêu trò" giảm độc hại – chỉ là ảo tưởng

Thị trường hiện xuất hiện nhiều loại bình shisha đi kèm phụ kiện "giảm độc hại" như than hoạt tính, lưới lọc hay tinh dầu hương liệu cao cấp. Tuy nhiên, các chuyên gia y tế khẳng định chưa có bằng chứng khoa học nào cho thấy những sản phẩm này thực sự an toàn. Thay vì giảm độc, chúng có thể khiến người dùng chủ quan, hút lâu hơn và nhiều hơn, từ đó làm gia tăng nguy cơ sức khỏe.

Bác sĩ bệnh viện 115 cảnh báo: Hút shisha có thể gây đột quỵ và huyết khối- Ảnh 2.

Hút shisha liên tục có thể gây đột quỵ ở người trẻ

Trong bối cảnh shisha và các sản phẩm thuốc lá mới bị chứng minh là gây nghiện và nguy hiểm ngang, thậm chí hơn cả thuốc lá điếu, việc thực thi nghiêm túc quy định cấm và tăng cường tuyên truyền là nhiệm vụ cấp thiết để bảo vệ sức khỏe cộng đồng.

Diệu Đan

Cùng chuyên mục
XEM