4 dấu hiệu răng miệng cảnh báo ung thư đang "tiến sát cửa nhà"

27/08/2025 09:20 AM | Sống  »  Sức khỏe

Rất nhiều người khi gặp những bất thường này đều cho rằng bệnh răng miệng "vặt vãnh", thậm chí chẳng để tâm. Đến khi phát hiện ung thư ở giai đoạn muộn mới ôm đầu, bứt tóc vì hối hận.

Một người đàn ông họ Trần ngoài 60 tuổi (Cam Túc, Trung Quốc) phát hiện mình có vài vết loét miệng ở phía hàm răng dưới. Lúc đầu, ông không quá để tâm, cứ kệ chờ nó tự khỏi. Thế nhưng hơn 3 tuần sau vết loét vẫn còn nguyên, đau đớn gây khó chịu khi ăn nên ông tự mua thuốc về bôi. Bôi 2 tuần không khỏi ông chuyển qua uống thuốc, đắp lá rồi còn dùng cả viên thảo dược thải độc, giảm nóng trong. 

Ông Trần luôn cho rằng vết loét của mình lâu khỏi là do cơ địa, lại đã có tuổi, dùng thuốc nhiệt miệng nhưng vẫn không kiêng được bia rượu. Tình trạng này kéo dài 3 tháng, phải đến khi vết loét liên tục chảy máu và có mùi rất khó chịu, ông mới chịu tới bệnh viện khám. Kết quả, bác sĩ Bệnh viện Ung thư Wuwei tỉnh Cam Túc (Trung Quốc) kết luận ông bị ung thư miệng giai đoạn 2. Ông Trần sững sờ, bật khóc vì rơi vào cảnh hối hận cũng không kịp nữa.

4 dấu hiệu xuất hiện ở miệng cảnh báo ung thư

Bác sĩ điều trị của ông Trần cho biết, ung thư khoang miệng (ung thư miệng) là căn bệnh thường bị phát hiện muộn bởi triệu chứng dễ bị nhầm lẫn với bệnh răng miệng thông thường hoặc chủ quan, tự điều trị. Nhưng trên thực tế, nó rất phổ biến và cũng rất nghiêm trọng. Vì vậy, ông khuyên mọi người chú ý đến 4 thay đổi trong khoang miệng sau đây:

Thay đổi màu sắc niêm mạc miệng

Ung thư miệng và các tổn thương tiền ung thư có thể biểu hiện bằng sự thay đổi màu sắc niêm mạc miệng nhưng đốm trắng, đen, ban đỏ...

Vết loét lâu ngày không lành

Ảnh minh họa

Loét miệng chủ yếu là do chấn thương ở niêm mạc miệng. Ví dụ như một chiếc răng vô tình cắn vào cũng có thể gây tổn thương, nhưng tình trạng loét thường sẽ thuyên giảm sau 2 - 3 tuần. Tuy nhiên, nếu vết loét xuất hiện không rõ nguyên nhân và kéo dài vài tháng, không cải thiện thì nên xem xét và thăm khám kịp thời.

Cùng với đó, những vết loét miệng ác tính có ranh giới vết thương không rõ ràng so với những vùng khác, viền vết thương "nham nhở". Nếu sử dụng thuốc điều trị loét miệng ác tính sẽ không mang lại hiệu quả đáng kể.

Rối loạn chức năng răng miệng

Răng lung lay không rõ nguyên nhân ở một vùng hạn chế mà không thể giải thích được bằng bệnh nha chu, chấn thương khớp cắn... Cùng với đó, hàm cũng bị sưng dẫn đến mất cân đối.

Một số bệnh nhân ung thư miệng có biểu hiện đau dữ dội không rõ nguyên nhân hoặc không thể mở miệng. Khả năng vận động của lưỡi cũng bị hạn chế, gây khó khăn trong việc nhai, nuốt hoặc nói, mất cảm giác hoặc tê một bên lưỡi.

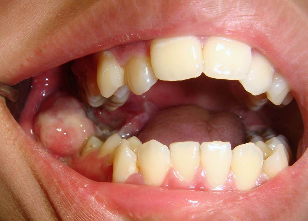
Xuất hiện khối u bất thường

Ảnh minh họa

Ung thư miệng thường di căn đến các hạch bạch huyết gần đó gây ra các khối u. Chính vì vậy, khi xuất hiện các khối u bất thường và kéo dài cần tìm hiểu rõ nguyên nhân và có cách điều trị đúng đắn.

Nên làm gì để phòng ngừa ung thư miệng?

Tiến sĩ Tian Jing thuộc Trung tâm Kiểm soát và Phòng ngừa Dịch bệnh Trung Quốc cho biết, muốn phòng ung thư miệng cần phải nắm được nguyên nhân gây ra nó. Trong đó có 8 nguyên nhân phổ biến nhất:

- Yếu tố di truyền: Người có cha mẹ hoặc họ hàng từng mắc ung thư miệng dễ bị ảnh hưởng nguy cơ cao hơn.

- Hút thuốc lá: Hóa chất độc hại trong thuốc lá phá hủy niêm mạc miệng, gây đột biến tế bào.

- Uống rượu bia: Cồn kích ứng, ăn mòn niêm mạc miệng và tăng nguy cơ tổn thương ác tính.

- Ăn/uống đồ quá nóng: Thói quen này gây bỏng rát, tổn thương niêm mạc lặp đi lặp lại, tạo điều kiện ung thư phát triển.

- Vệ sinh răng miệng kém: Đeo răng giả không đúng cách, vệ sinh kém dễ gây viêm loét, tạo môi trường cho ung thư phát triển. Hay lạm dụng nước súc miệng, dung dịch chứa cồn có thể gây kích ứng lâu dài, tăng nguy cơ đột biến.

Ảnh minh họa

- Dinh dưỡng mất cân bằng: Thiếu vitamin A, B, sắt, kẽm làm niêm mạc yếu, dễ bị tổn thương và sinh ung thư.

- Ăn quá nhiều thịt đỏ: Chế độ ăn giàu thịt đỏ, ít rau xanh lâu dài làm tăng nguy cơ ung thư khoang miệng.

- Thói quen xấu kéo dài: Nghiến răng, cắn môi hoặc tổn thương lặp lại trong miệng cũng có thể dẫn đến biến đổi tế bào ác tính.

Để phòng ngừa ung thư miệng, Tiến sĩ Tian khuyên nên tránh xa và sớm bỏ những thói xấu kể trên. Đồng thời xây dựng lối sống lành mạnh, nghỉ ngơi đầy đủ, tránh căng thẳng kéo dài, khám sức khỏe định kỳ. Đặc biệt, nếu phát hiện loét miệng lâu lành hoặc các bất thường khác ở khoang miệng, hãy đi khám ngay, đừng chần chừ mà bỏ lỡ cơ hội điều trị sớm.

Theo Chiến My

Cùng chuyên mục
XEM